Bị mất răng số 6 có niềng răng được không?

- Giám đốc Nha khoa I-DENT
- 10 năm tu nghiệp tại Pháp - hơn 10.000 ca Implant thành công
Người mất răng số 6 hoàn toàn có thể niềng răng nếu còn răng số 7 và răng số 8. Vì 2 răng này sẽ được bác sĩ kéo chỉnh để thay thế vị trí và vai trò của răng số 6 trong cung hàm. Ngoài ra trong một số trường hợp, cần kết hợp niềng răng với trồng răng Implant hoặc cầu răng sứ để khắc phục tình trạng mất răng số 6.
1. Vị trí và vai trò của răng số 6
Răng số 6 là răng hàm lớn thứ nhất, đóng vai trò chính trong quá trình nhai nát thức ăn trước khi đưa xuống hệ tiêu hóa. Chiếc răng này chỉ mọc một lần duy nhất và kết nối với rất nhiều dây thần kinh nằm trong xương hàm nên nếu mất đi sẽ gây ra nhiều ảnh hưởng đến khả năng ăn nhai và sức khỏe của bạn. Vì vậy ngay khi mất răng, bạn cần đến nha khoa điều trị nhằm hạn chế tối đa những hậu quả nghiêm trọng có thể xảy ra.
Chiếc răng này thường mọc ở vị trí gần trong cùng của cung hàm khi ta khoảng 6 – 8 tuổi. Phần chân và thân của răng rất lớn, hệ thống mạch máu cùng dây chằng cũng dày đặc hơn các răng khác nên răng số 6 mọc rất chắc chắn. Trong khi 2 răng số 6 hàm dưới có 2 chân, 2 răng số 6 hàm trên lại có đến 3 chân vì phải vững chắc để chịu lực nhai mạnh hơn.
Răng số 6 cũng là răng có chứa nhiều ống tủy nhất, thường từ 3 – 5 ống tủy. Nên khi răng bị sâu hoặc viêm tủy sẽ rất khó điều trị. Chính vì vậy, cần giữ gìn và bảo vệ chiếc răng cấm này từ nhỏ để tránh bị hư hại làm mất răng, ảnh hưởng lâu dài về sau.

Vị trí của răng số 6
2. Nguyên nhân gây mất răng số 6
Có nhiều nguyên nhân gây mất răng số 6, chẳng hạn:
- Do mất răng bẩm sinh: Một số đột biến gen có thể gây mất răng số 6 bẩm sinh hoặc làm chân răng yếu, dễ gãy rụng hơn bình thường. Nếu ông bà hoặc bố mẹ gặp phải tình trạng này thì khả năng cao con cái cũng bị di truyền.
- Sâu răng, viêm nướu: Răng số 6 bị sâu nếu không được điều trị kịp thời sẽ làm ảnh hưởng các lớp cấu trúc răng dẫn đến không giữ được răng. Tương tự, viêm nướu thời gian dài dễ dẫn đến viêm nha chu gây mất răng số 6.
- Vệ sinh răng miệng không sạch sẽ: Nguyên nhân chủ yếu gây mất răng do bệnh răng miệng là vì không đảm bảo vệ sinh răng miệng.
- Va đập, tai nạn: Khi gặp các tai nạn, chấn thương nặng ở phần đầu mặt, đặc biệt là vùng xương hàm rất dễ khiến chân răng lung lay, thậm chí trực tiếp rụng ngay lúc va đập.

Sâu răng có thể làm mất răng số 6
3. Hậu quả của việc bị mất răng số 6
Mất răng số 6 gây ra nhiều hậu quả nghiêm trọng, ảnh hưởng đến sức khỏe răng miệng và chức năng ăn nhai của bệnh nhân. Cụ thể:
- Tiêu xương hàm: Mất răng số 6 khiến lực tác động lên vị trí đó không còn nên xương hàm sẽ bị tiêu biến dần theo thời gian. Quá trình này thường bắt đầu sau khoảng 3 tháng mất răng. Nếu không được chữa trị, mật độ xương sẽ giảm đáng kể.
- Gây hóp má: Mất răng số 6 có thể gây hóp má. Đặc biệt khi mất răng hàm dưới, tình trạng này sẽ diễn ra nhanh và rõ ràng hơn, khiến gương mặt trông già hơn tuổi và thiếu sức sống.
- Mặt lệch: Răng số 6 là một trụ đỡ, duy trì cho cấu trúc hàm ổn định, vững chắc. Khi mất chiếc răng có kích thước to này, cấu trúc sẽ bị phá vỡ gây lệch mặt. Ngoài ra, người mất răng có xu hướng tránh nhai tại vị trí trống răng bỏ lại, làm hai bên hàm phát triển không đồng đều.
- Các răng còn lại có nguy cơ bị xô lệch: Răng số 6 mất đi để lại khoảng trống lớn trên cung hàm. Răng số 5, răng số 7 cùng các răng lân cận mất đi sự nâng đỡ, dần bị nghiêng, lệch sang vị trí này trong quá trình ăn nhai. Điều này khiến sự ăn khớp của 2 hàm bị phá vỡ, gây lệch khớp hàm.
- Ảnh hưởng chức năng ăn nhai: Như đã đề cập ở trên, răng số 6 đóng vai trò rất quan trọng trong quá trình ăn nhai. Vậy nên mất răng số 6 sẽ khiến thức ăn không được nghiền nát đủ, gây ra các vấn đề về hệ tiêu hóa.
- Khiến răng đối diện mọc trồi lên: Khi mất đi điểm cản, răng đối diện răng số 6 bị mất sẽ mọc trồi lên, làm tổn thương phần nướu và mô mềm phía đối diện. Nghiêm trọng hơn, điều này sẽ gây viêm thái dương hàm, dẫn đến đau mặt, đau đầu mãn tính.
4. Mất răng số 6 có niềng được không?
Mất răng số 6 có thể niềng răng bình thường với điều kiện răng số 7 và răng số 8 lân cận vẫn còn. Cụ thể, bác sĩ sẽ tiến hành lắp các khí cụ niềng để kéo chỉnh 2 chiếc răng này vào khoảng trống. Sau khi quá trình điều trị hoàn tất, răng số 7 sẽ thay thế vị trí và vai trò của răng số 6 còn răng khôn sẽ trở thành răng số 7.
Tuy nhiên khi răng khôn đã bị loại bỏ hoặc chưa có dấu hiệu mọc thì niềng răng không thích hợp để điều trị mất răng số 6. Thay vào đó, bạn nên chuyển sang các phương pháp như trồng răng Implant hoặc làm cầu răng sứ để phục hình chiếc răng bị mất.
Nếu răng số 8 của bạn đang mọc, bạn có thể đợi răng mọc hoàn chỉnh và thực hiện niềng răng với quy trình bình thường. Còn nếu răng khôn mọc ngầm, cần xem xét đến độ mọc ngầm, phương hướng mọc để đưa ra phương án phù hợp. Vì vậy bạn nên đến các nha khoa uy tín để được bác sĩ thăm khám và tư vấn cụ thể.
Quá trình niềng răng mất răng số 6 diễn ra khá phức tạp. Vì răng số 7 có kích thước lớn, lại có nhiều chân răng nên việc kéo chỉnh sẽ tương đối khó khăn. Bên cạnh đó, nếu khoảng trống mất răng nhỏ thì quá trình đóng khoảng diễn ra thuận lợi. Nhưng nếu răng số 6 bị mất có kích thước quá lớn thì hiệu quả sẽ không thể đạt 100% như kỳ vọng. Vậy nên trong những trường hợp như này, bác sĩ thường thực hiện niềng giữ khoảng trống rồi tiến hành trồng răng số 6 sau khi quá trình niềng răng kết thúc.
Để niềng răng khi bị mất răng số 6, bạn có thể lựa chọn những phương pháp phổ biến sau. Đặc biệt, các phương pháp này áp dụng được cho nhiều trường hợp khác.
- Niềng răng mắc cài: Đây là phương pháp niềng răng truyền thống, sử dụng lực tác động của mắc cài cùng dây cung để kéo chỉnh răng về vị trí chuẩn. Mắc cài có nhiều loại khác nhau như mắc cài kim loại bền chắc, mắc cài tự động điều chỉnh răng với tốc độ nhanh hoặc mắc cài sứ mang đến sự thẩm mỹ. Giá niềng răng mắc cài có chi phí thấp hơn các phương pháp chỉnh nha khác nên được nhiều bệnh nhân lựa chọn.
- Niềng răng Invisalign: Khác với niềng răng mắc cài, niềng răng trong suốt Invisalign sử dụng khay niềng răng trong suốt được thiết kế riêng cho từng trường hợp để điều chỉnh vị trí của răng. Các khay niềng trong suốt có thể tháo lắp dễ dàng và khó nhận biết nên mang lại quá trình điều trị nhẹ nhàng, tiện lợi, đảm bảo thẩm mỹ.

Niềng răng mất răng số 6
5. Kỹ thuật niềng răng khi mất răng số 6 diễn ra như thế nào?
Quy trình niềng răng mất răng số 6 diễn ra lần lượt theo 3 bước sau:
- Bước 1: Thăm khám, kiểm tra tình trạng vùng răng số 6 bị mất
Ở bước này, bác sĩ tiến hành thăm khám, kiểm tra phần nướu cùng các răng lân cận. Đồng thời, kết hợp chụp X-quang để kiểm tra tình trạng xương hàm xem có bị tiêu xương không. Sau khi thu thập đủ dữ liệu cần thiết, bác sĩ sẽ lập phác đồ điều trị chi tiết cho bệnh nhân, trong đó gồm phương pháp, thời gian và chi phí điều trị.
- Bước 2: Lấy dấu hàm và vệ sinh răng miệng trước niềng
Bác sĩ lấy dấu hàm để thiết kế và sản xuất mắc cài phù hợp với khuôn răng của bạn, đồng thời lấy dữ liệu hàm để theo dõi tiến trình dịch chuyển của răng. Trước khi tiến hành gắn mắc cài, bạn sẽ được vệ sinh răng miệng chuyên sâu nhằm giúp quá trình niềng răng diễn ra thuận lợi, an toàn trong môi trường sạch sẽ.
- Bước 3: Gắn mắc cài / Đeo khay niềng và hẹn lịch tái khám
Niềng răng trong suốt Invisalign diễn ra đơn giản vì mỗi khay niềng đều được sản xuất và đánh thứ tự sẵn, bạn chỉ cần đeo và thay khay định kỳ theo đúng yêu cầu của bác sĩ. Trong khi đó, với phương pháp niềng răng kim loại và niềng răng sứ, bác sĩ sẽ gắn mắc cài lên thân răng bằng composite, sau đó luồn dây cung vào rãnh mắc cài rồi cố định lại bằng dây thun.
Quá trình niềng răng mắc cài chỉ kéo dài trong vài giờ và không khó chịu hay quá đau nhức. Sau đó, bạn chỉ cần chăm sóc tốt răng niềng và đến nha khoa tái khám theo đúng lịch hẹn để bác sĩ kiểm tra và tiến hành điều chỉnh lực siết.
Dù niềng răng có thể kéo chỉnh răng để thay thế răng số 6 bị mất, tuy nhiên bác sĩ vẫn khuyến khích niềng răng giữ khoảng để tiến hành trồng lại răng nhằm đảm bảo hiệu quả lâu dài. Nhưng cần lưu ý bước trồng răng sẽ được tiến hành sau khi quá trình niềng răng kết thúc, vì phần răng trồng lại được cố định chắc chắn nên rất khó điều chỉnh.
Có 2 phương pháp phục hình thường được kết hợp với niềng răng để khắc phục tình trạng mất răng số 6 là:
- Phương pháp cấy ghép Implant: Trồng răng Implant là phương pháp cấy ghép chân răng nhân tạo vào xương hàm ở vị trí của răng bị mất rồi bọc mão răng sứ lên để tạo chiếc răng hoàn chỉnh. Răng mới có phần chân chắc chắn giúp phòng ngừa tình trạng tiêu xương, đồng thời thực hiện ăn nhai mà không gặp trở ngại.
- Phương pháp cầu răng sứ: Cầu răng sứ sử dụng mão răng sứ gắn cố định lên răng trụ. Các răng trụ là răng thật bị mài mòn để làm cầu nối lấp khoảng trống mà răng bị mất để lại. Do ảnh hưởng đến răng thật nên phương pháp này ít được khuyến khích hơn.

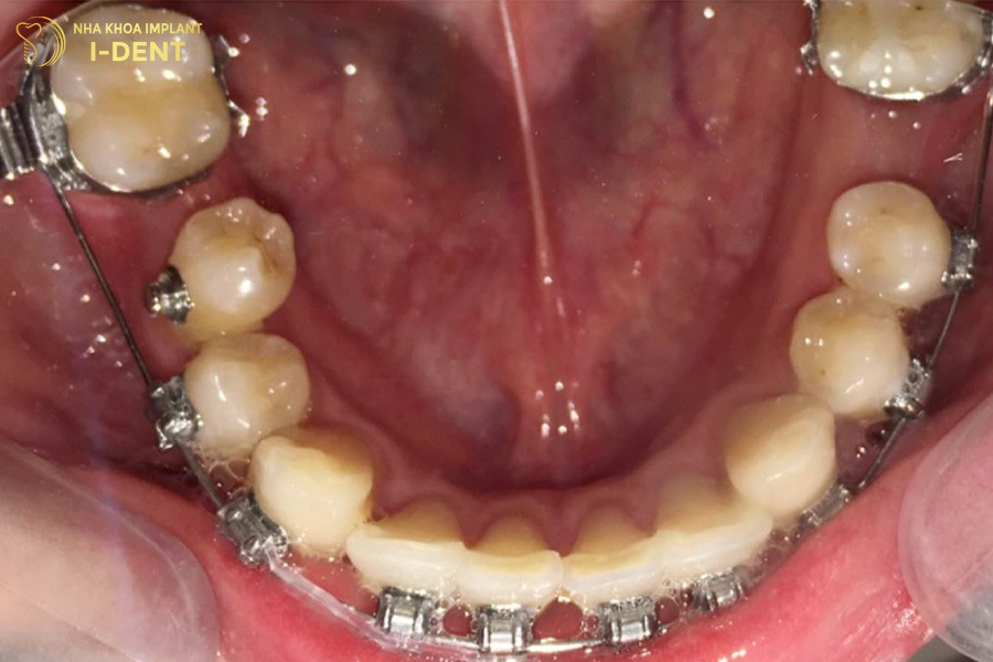
Bác sĩ đang tiến hành niềng răng cho bệnh nhân
6. Các câu hỏi thường gặp
6.1 Có nên trồng răng số 6 trước khi niềng không?
Không nên trồng răng số 6 trước khi niềng vì điều này có thể làm cản trở quá trình chỉnh nha. Bởi khi trồng, răng sẽ bị cố định vào xương hàm nên khí cụ niềng không thể làm cho răng dịch chuyển. Vậy nên các bác sĩ thường chỉ định niềng răng để sắp xếp lại vị trí của răng trước, sau đó mới tiến hành trồng răng số 6 nếu cần thiết.
6.2 Mất 2 răng số 6 có niềng được không?
Mất 2 răng số 6 vẫn có thể niềng nhưng phải còn răng số 7 và răng số 8 để thay thế răng bị mất và lấp đầy khoảng trống. Trong một số trường hợp, bác sĩ sẽ chỉ định trồng răng Implant sau khi niềng để đạt hiệu quả tốt nhất.
6.3 Mất răng số 6 hàm dưới có niềng răng được không?
Có thể niềng răng khi bị mất răng số 6 hàm dưới. Tuy nhiên cần đảm bảo răng số 7 hoặc răng số 8 hàm dưới vẫn còn để thay thế vai trò cho răng bị mất. Nếu bị mất cả răng số 6 và răng số 7 hàm dưới, đồng thời không có răng số 8 thì không thể niềng mà phải trồng răng Implant hoặc làm cầu răng sứ để khắc phục.
6.4 Niềng răng có cần nhổ răng số 6 không?
Răng số 6 thường không được chỉ định nhổ khi niềng răng. Tuy nhiên nếu răng có bị sâu, bị nứt vỡ hoặc bị viêm nha chu mà không thể hồi phục hay chữa trị thì bác sĩ sẽ chỉ định nhổ bỏ để niềng.
Tóm lại, mất răng số 6 vẫn có thể niềng răng nếu răng số 7 và răng khôn cùng hàm cùng phía còn nguyên vẹn, đủ điều kiện để thay thế vị trí và vai trò của răng bị mất. Tùy từng trường hợp cụ thể, bác sĩ có thể chỉ định kết hợp niềng răng với trồng răng Implant hoặc cầu răng sứ để đảm bảo hiệu quả lâu dài và phục hồi tối đa chức năng ăn nhai. Do đó, khi bị mất răng số 6, bạn nên đến nha khoa uy tín để được thăm khám, chụp X-quang và tư vấn phác đồ điều trị phù hợp, giúp tái tạo hàm răng đều đẹp, khớp cắn chuẩn và duy trì sức khỏe răng miệng toàn diện.
CHUYÊN SÂU IMPLANT DÀNH CHO NGƯỜI VIỆT
- Cơ sở 1:19V Nguyễn Hữu Cảnh, P.19, Q.Bình Thạnh, TP.Hồ Chí Minh
- Cơ sở 2:193A-195 Hùng Vương, P.9, Quận 5, TP.Hồ Chí Minh
- Cơ sở 3:83 Đường số 3 Khu dân cư Cityland, P.10, Q.Gò Vấp, TP.Hồ Chí Minh