Trước Và Sau Khi Niềng Răng Có Làm Thay Đổi Khuôn Mặt

- Giám đốc Nha khoa I-DENT
- 10 năm tu nghiệp tại Pháp - hơn 10.000 ca Implant thành công
Niềng răng hay còn gọi là chỉnh nha là phương pháp giúp khắc phục những khuyết điểm của răng, giúp hàm răng đều đặn và cải thiện khớp cắn. Do đó, nhiều người khi so sánh trước và sau khi niềng răng thấy khuôn mặt có sự thay đổi như miệng cân đối và hài hòa hơn, đặc biệt ở vùng môi, cằm và góc nghiêng. Tuy nhiên trên thực tế sự thay đổi trước và sau khi niềng ở mỗi người là khác nhau, trường hợp niềng sai cách còn gây ra một số tác động tiêu cực.
1. Niềng răng có làm thay đổi khuôn mặt?
Niềng răng có thể làm thay đổi khuôn mặt cân đối và đẹp hơn vì sau khi niềng thì răng đều, khớp cắn được chỉnh đúng, khuôn miệng hài hòa, mang đến nụ cười tươi tắn và rạng rỡ, tạo sự tự tin trong giao tiếp, cười hoặc nói chuyện.
Vì hàm có ảnh hưởng đến khuôn mặt, với những người có hàm răng không đều, mọc khấp khểnh sẽ làm ảnh hưởng trực tiếp đến khuôn mặt khiến cho kém cân đối, có thể thấy rõ nhất ở phần hàm dưới, cụ thể:
- Xương hàm và khuôn răng hàm trên/hàm dưới rộng hoặc người có răng hô, răng to, thân răng dày… sẽ làm cho khuôn miệng trông rộng, to, thô và giảm sự hài hòa của khuôn mặt.
- Các tình trạng như răng hô, răng móm, răng mọc lệch, lệch khớp cắn… có thể làm cho đường nét vùng hàm dưới bị lệch, gương mặt nhìn cứng hơn, đôi khi tạo cảm giác góc cạnh hoặc thiếu sự mềm mại.
Do đó, niềng răng thẩm mỹ được nhiều người lựa chọn với mong muốn cải thiện khớp cắn và sắp xếp răng đều hơn, từ đó giúp khuôn miệng hài hòa, nụ cười đẹp, tự tin.

Mức độ thay đổi khuôn mặt khi niềng răng sẽ khác nhau ở mỗi người
2. Các bộ phận khuôn mặt trước và sau khi niềng răng thay đổi như thế nào?
Trước và sau khi niềng răng bạn sẽ thấy các bộ phận trên khuôn mặt có những thay đổi tích cực, phổ biến dễ thấy nhất là tình trạng mặt lệch, mức độ cân đối, góc mũi nhìn nghiêng, góc cằm, sức khỏe răng nướu và đường nét đôi môi.
2.1 Cải thiện tình trạng mặt lệch
Ở một số người, răng lệch lạc hoặc khớp cắn sai làm hai hàm không tương quan với nhau, nên cơ nhai và cơ quanh hàm phải hoạt động bù trừ để cắn đúng, từ đó khiến cho gương mặt đôi khi trông căng, cứng hoặc kém tự nhiên. Khi niềng răng giúp răng về đúng vị trí và khớp cắn ổn định hơn, các điểm cản trở được giảm bớt, cơ mặt có thể thư giãn hơn. Nhờ đó tổng thể khuôn mặt khi nhìn mềm và cân đối hơn.

Hình ảnh trước và sau niềng của góc nghiêng khuôn mặt
2.2 Khuôn mặt cân đối
Nếu tình trạng lệch mặt đến từ việc khớp cắn lệch khiến hàm dưới có thói quen trượt sang một bên khi cắn, sự thay đổi trước và sau khi niềng răng là chỉnh khớp cắn có thể giúp hai hàm khớp với nhau, từ đó gương mặt nhìn cân đối hơn. Tuy nhiên, nếu lệch mặt chủ yếu do cấu trúc xương hàm bị lệch thì niềng răng không đạt hiệu quả tối đa mà chỉ cải thiện phần răng mọc thẳng.

Khớp cắn được điều chỉnh chuẩn giúp cơ mặt thư giãn và gương mặt cân đối hơn.
2.3 Góc mũi trông cao hơn
Nhiều người thấy khuôn mặt trước và sau khi niềng răng có thay đổi về góc mũi đặc biệt người hô hoặc vẩu thấy rõ là mũi trông cao và thon hơn. Thực tế, niềng răng không làm thay đổi cấu trúc mũi mà cảm giác thấy mũi cao hơn sau khi niềng thường đến từ việc răng cửa và môi trên đã được thu vào trong nên nhìn mũi có vẻ gọn hơn.
Vì những người có mũi cao thực chất là do sự phát triển của xương sụn, độ dày cánh mũi và hoàn toàn không liên quan đến khuôn xương răng hay khuôn xương hàm. Do đó, chỉnh nha chỉ có tác dụng làm cho các răng đều đẹp hơn, khuôn mặt trở nên hài hòa và vô tình khiến cho chúng ta cảm giác phần mũi cao hơn.

Răng đều, lợi khỏe hơn nhờ quá trình chỉnh nha đúng kỹ thuật.
2.4 Góc cằm thay đổi
Trước và sau khi niềng răng có sự thay đổi ở vùng cằm vì khi đã được nâng khớp cắn, kéo lùi hàm dưới ra sau hay được dàn đều các răng hàm dưới thì các nét của nửa mặt dưới trông sẽ dài và thanh thoát hơn, thậm chí tạo cảm giác cằm dài hoặc V-line hơn.

Niềng răng giúp khép môi tự nhiên, khắc phục tình trạng môi nhô ra.
2.5 Cải thiện sức khỏe răng miệng
Thay đổi trước và sau niềng răng thấy rõ ràng nhất là răng đều hơn, khỏe mạnh và dễ vệ sinh sạch sẽ hơn. Khi làm sạch tốt, nướu có xu hướng khỏe hơn, hồng hào, ít hoặc không bị viêm nhiễm như trước. Qua đó giúp bạn có được nụ cười khỏe mạnh, thu hút, cải thiện sự tự tin, khuôn mặt trở nên tươi tắn hơn khi cười.
2.6 Đôi môi thay đổi đường nét
Khuôn mặt trước và sau khi niềng răng có thể làm thay đổi ở đôi môi. Chẳng hạn với người hô/vẩu, các răng cửa hàm trên nhô ra có thể đẩy môi trên nhô theo, làm môi dễ bị vểnh và khó khép tự nhiên, vị trí môi vùng răng nanh cũng phồng ra làm cho môi thiếu đường nét. Do đó, khi niềng răng việc kéo hàm trên, hàm dưới lùi vào giúp cho môi không bị hếch lên nữa. Cùng với đó, vị trí vùng môi vùng răng số 2 và số 3 hơi cong vào giúp cho đôi môi hội tụ vào giữ và tạo nên đường nét căng mọng.
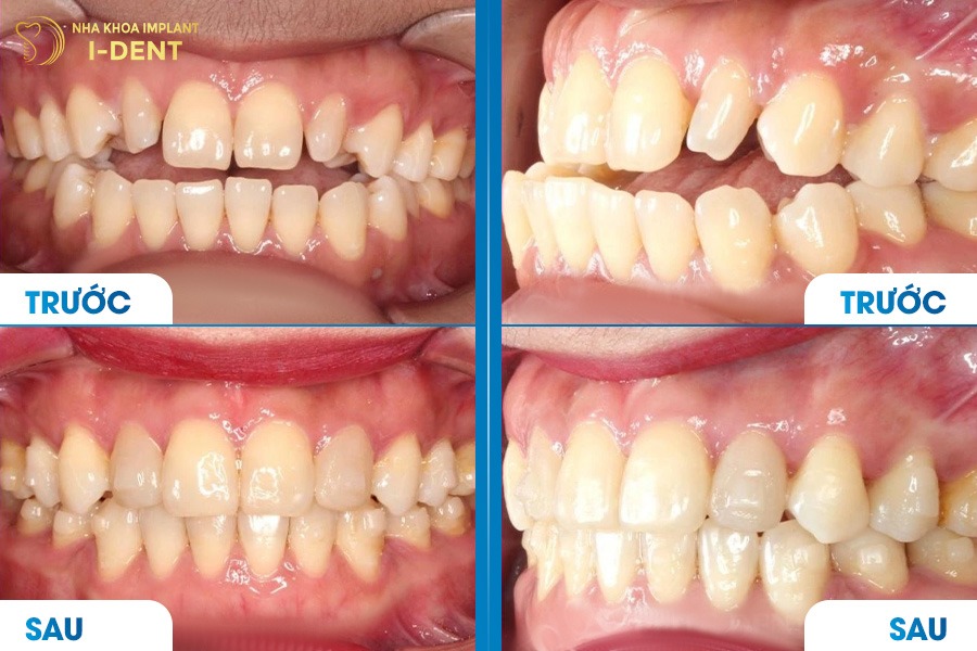
3. Hình ảnh trước và sau khi niềng răng theo từng tình trạng
Tùy vào từng tình trạng sai lệch, niềng răng thẩm mỹ sẽ mang lại sự thay đổi khác nhau. Nhưng nhìn chung, gương mặt sẽ trở nên cân đối và hài hòa hơn trước khi chỉnh nha.
3.1 Hình ảnh trước và sau khi niềng răng hô, vẩu
Niềng răng hô giúp cải thiện rõ rệt thẩm mỹ khuôn mặt, mang lại nụ cười tự tin và khớp cắn chuẩn. Trước khi niềng, răng hô hàm trên chìa ra, môi vểnh, khó khép miệng gây mất thẩm mỹ, quá trình ăn nhai cũng trở nên khó khăn. Ngoài ra, răng hô, vẩu có thể ảnh hưởng nhiều đến khả năng phát âm làm người bị hô cảm thấy tự ti trong giao tiếp.
So sánh sự thay đổi trước và sau khi niềng răng hô sẽ thấy có sự thay đổi ở vị trí răng, đường nét môi và khuôn mặt. Vị trí răng từ chìa ra ngoài thành thẳng đứng, đã được kéo lùi vào trong, sắp xếp đều đặn trên cung hàm. Đường nét môi giảm tình trạng môi vểnh, hếch giúp đôi môi khép lại tự nhiên. Đồng thời cải thiện khả năng ăn nhai và phát âm tròn vành rõ chữ hơn khi nói chuyện.
Dưới đây là hình ảnh thực tế khách hàng trước và sau niềng răng hô tại nha khoa cho thấy có sự cải thiện rõ rệt:

Hình ảnh trước và sau niềng răng hô giúp khuôn miệng khép tự nhiên, cải thiện nụ cười.

Kết quả trước và sau khi niềng răng hô có kẽ thưa ở răng cửa.

Sự thay đổi vị trí răng hàm trên trước và sau khi niềng răng hô, không cần nhổ răng kéo lùi

Kết quả niềng răng trước và sau khi niềng răng cửa hô nặng

Trước và sau khi niềng răng hô hàm răng của trẻ đã được khắc phục tình trạng vẩu nặng ở hàm trên

Các răng hô hàm trên và răng mọc sai lệch vị trí đã có sự thay đổi lớn trước và sau khi niềng răng
3.2 Sự thay đổi trước và sau khi niềng răng móm
Trước khi niềng răng, người bị móm sẽ có phần hàm dưới nhô ra, hàm trên lõm vào, một số trường hợp khác khi nói chuyện phát âm bị đớt. Sau khi niềng răng thì trên khuôn mặt có thay đổi rõ rệt như phần hàm trên được đưa ra ngoài, hàm dưới lùi vào trong và thon gọn hơn, góc mũi sẽ trông cao hơn không bị tù mà trở nên nhọn hơn.

Niềng răng móm giúp đưa hàm dưới lùi vào, cải thiện đáng kể đường nét gương mặt.

Trước và sau khi niềng răng có kết quả khớp cắn chuẩn và gương mặt cân đối hơn.
3.3 Khuôn mặt thay đổi trước và sau khi niềng răng mọc lệch, khấp khểnh nặng
Trường hợp răng mọc lệch, khấp khểnh nặng khi cười tạo cảm giác miệng người bệnh có quá nhiều răng do các răng bị chồng lên nhau, các răng nanh lệch ra ngoài cung răng nên rất dễ lộ khi cười. Quá trình niềng răng sẽ kéo các răng mọc lệch đi vào hàng giúp đưa các răng về đúng vị trí, điều chỉnh trục răng theo phương thẳng. Nhờ vậy, miệng sau khi niềng không còn bị rộng, nụ cười hài hòa dễ nhìn hơn, đồng thời việc vệ sinh răng miệng cũng thuận lợi.

Sau khi đã niềng thì răng đều và sát khít giúp nụ cười tự tin, hài hòa hơn.

Từ hàm răng khấp khểnh thiếu tự tin, sau niềng răng trở nên ngay ngắn, nụ cười rạng rỡ.

Hình ảnh trước và sau khi niềng răng khấp khểnh
2.4 Hình ảnh trước và sau khi niềng răng của góc nghiêng
Niềng răng thẩm mỹ là sử dụng các khí cụ chỉnh nha tác động lên răng một lực nhẹ và liên tục, giúp răng di chuyển về vị trí mong muốn, đồng thời tác động lên cả phần chân răng, xương ổ răng, làm cho khuôn mặt thay đổi tích cực hơn, một số trường hợp nhận thấy góc nghiêng đẹp hơn sau khi niềng răng vì lúc này phần môi không bị hô hay móm, mũi trông cao hơn.

Hình ảnh trước và sau khi niềng răng của góc nghiêng

Hình ảnh của góc nghiêng khuôn mặt trước và sau khi niềng răng

Niềng răng thay đổi góc nghiêng
4. Sự thay đổi của khuôn mặt trước và sau khi niềng răng ở từng đối tượng?
Ở mỗi độ tuổi, niềng răng sẽ có hiệu quả khác nhau. Thông thường, trẻ em sẽ có nhiều thay đổi hơn so với người lớn.
4.1 Sự thay đổi khuôn mặt ở trẻ em và thanh thiếu niên
Trẻ em và thanh thiếu niên dưới 16 tuổi là thời điểm vàng để niềng răng và đạt kết quả niềng răng cao nhất. Việc niềng răng trong giai đoạn này dễ dàng thực hiện hơn, các động tác kéo, nắn chỉnh răng, nướu, xương hàm cũng thuận lợi hơn. Khuôn mặt trước và sau khi niềng răng sẽ có sự thay đổi tích cực, khuôn miệng đẹp.
Các bậc phụ huynh cần thường xuyên thăm khám nha khoa định kỳ cho trẻ để kịp thời phát hiện sớm các sai lệch, nhận tư vấn và phương pháp điều trị kịp thời từ bác sĩ. Điều này sẽ giúp phòng tránh các nguy cơ răng mọc lệch lạc, răng hô, răng móm,… giúp cho trẻ có được nụ cười đẹp và tự tin hơn.

Hình ảnh thay đổi trước và sau khi niềng ở khuôn mặt ở trẻ em
4.2. Sự thay đổi khuôn mặt ở người trưởng thành
Niềng răng ở người trưởng thành nhằm mục đích chính là cải thiện mức độ thẩm mỹ hoặc khắc phục các khuyết điểm đang có trên răng. Tuy nhiên, vì xương hàm của người trưởng thành đã ổn định, khá cứng chắc nên sự thay đổi trước và sau khi niềng thường không nhiều. Ngoài ra, thời gian niềng của đối tượng này cũng sẽ lâu hơn và răng có mức độ phức tạp hơn.

Hình ảnh trước và sau niềng răng của người trưởng thành có sự thay đổi
5. Niềng răng sai cách ảnh hưởng tiêu cực đến khuôn mặt như thế nào?
Trước và sau niềng răng sẽ có những thay đổi theo xu hướng tiêu cực như:
- Khi mới gắn mắc cài hoặc sau mỗi lần siết chỉnh, răng có thể ê và đau, nhai khó hơn. Nếu bạn ăn ít hơn trong một thời gian, cân nặng giảm thì gương mặt có thể trông gầy và hóp má hoặc hóp thái dương. Đây thường là thay đổi do dinh dưỡng và thói quen nhai, không phải xương mặt bị teo vĩnh viễn. Tuy nhiên, ảnh hưởng tiêu cực này chỉ mang tính chất tạm thời, sau khi đã quen với mắc cài hoặc hoàn thành quá trình niềng, thói quen ăn uống sẽ quay lại bình thường.
- Niềng răng nếu thực hiện sai phương pháp có thể gây ra các biến chứng cho răng miệng, nghiêm trọng hơn là có thể làm tổn hại đến khuôn mặt trước và sau khi niềng.
- Niềng răng có thể gây ra tình trạng đường giữa bị lệch và khi đó nụ cười sẽ bị méo. Nguyên nhân có thể do kế hoạch kéo răng chưa kiểm soát tốt, đeo chun liên hàm không đúng, hoặc kết thúc điều trị khi khớp cắn chưa hoàn thiện.
- Những người bị lệch xương hàm thì niềng răng không thay đổi được sự bất tương quan quá lớn như mức độ vẩu hay móm nặng, bị khớp cắn hở nhiều,… có thể cần áp dụng thêm phương pháp phẫu thuật xương hàm để đạt hiệu quả tốt nhất
6. Câu hỏi thường gặp
6.1 Niềng răng xong có đẹp hơn không?
Niềng răng xong có thể giúp bạn đẹp hơn. Vì sau khi niềng, răng được sắp xếp ngay ngắn, khớp cắn chuẩn nên nụ cười hài hòa và gương mặt trông cân đối. Nhờ đó, tổng thể khuôn mặt của bạn sẽ trở nên đẹp hơn một cách tự nhiên.
6.2 Niềng răng như thế nào là đẹp?
Niềng răng đẹp là khi răng sau chỉnh nha được sắp xếp thẳng hàng, khớp cắn chuẩn, hàm cân đối và nụ cười tự nhiên. Đồng thời, khuôn mặt thanh thoát trông cân đối, thẩm mỹ hơn.
6.3 Niềng răng có giúp mặt cân đối và thon gọn hơn không?
Niềng răng có thể giúp gương mặt trông thon gọn và cân đối hơn. Bởi sau khi chỉnh nha, răng được sắp xếp lại và các vấn đề như hô hay móm được cải thiện. Nhờ vậy, đường viền hàm trở nên mềm mại, cân đối hơn. Tuy nhiên, niềng răng không tác động trực tiếp đến xương hàm mà chỉ điều chỉnh răng và khớp cắn, làm diện mạo tổng thể trở nên ưa nhìn hơn.
6.4 Niềng răng có giúp mặt hết lệch không?
Niềng răng có thể giúp cải thiện tình trạng mặt lệch nếu nguyên nhân gây lệch là do răng hoặc khớp cắn. Tuy nhiên, nếu lệch mặt do xương hàm hoặc cấu trúc xương bẩm sinh thì niềng răng chỉ cải thiện một phần và cần kết hợp phẫu thuật hàm để đạt hiệu quả tối ưu.
Niềng răng không chỉ giúp cải thiện sự sắp xếp của răng và khớp cắn mà còn mang đến những thay đổi tích cực về diện mạo, giúp khuôn mặt trở nên cân đối, hài hòa và tự nhiên hơn theo thời gian. Tuy nhiên, để đạt kết quả tối ưu và tránh những tác động tiêu cực, cần phải lựa chọn cơ sở nha khoa uy tín và bác sĩ có chuyên môn nhằm tăng xác suất thành công của quá trình điều trị.
CHUYÊN SÂU IMPLANT DÀNH CHO NGƯỜI VIỆT
- Cơ sở 1:19V Nguyễn Hữu Cảnh, P.19, Q.Bình Thạnh, TP.Hồ Chí Minh
- Cơ sở 2:193A-195 Hùng Vương, P.9, Quận 5, TP.Hồ Chí Minh
- Cơ sở 3:83 Đường số 3 Khu dân cư Cityland, P.10, Q.Gò Vấp, TP.Hồ Chí Minh