 
              Răng Móm Có Niềng Được Không? Mất Bao Lâu

- Giám đốc Nha khoa I-DENT
- 10 năm tu nghiệp tại Pháp - hơn 10.000 ca Implant thành công
Niềng răng có thể khắc phục tình trạng bị móm do răng, mang đến cho bạn một nụ cười tự tin mà không cần phải can thiệp phẫu thuật. Có 2 phương pháp thường được bệnh nhân lựa chọn để điều trị răng móm là niềng răng mắc cài và niềng răng Invisalign.
1. Răng móm có niềng được không?
Bị móm hoàn toàn có thể niềng răng nhưng mỗi mức độ và nguyên nhân móm sẽ áp dụng kỹ thuật điều trị khác nhau. Niềng răng là phương pháp sử dụng các khí cụ chỉnh nha chuyên dụng như mắc cài hoặc khay niềng trong suốt để tạo lực kéo chỉnh răng về vị trí chuẩn trên cung hàm. Nhờ đó, tình trạng móm răng được cải thiện, giúp cho khớp cắn được ăn khớp và khuôn mặt hài hòa hơn. Tuy nhiên hiệu quả điều trị còn phụ thuộc vào cấu trúc xương hàm và tình trạng thực tế của mỗi người.
Niềng răng móm mang lại hiệu quả cao khi nguyên nhân gây móm xuất phát từ do răng. Tuy nhiên nếu bị móm do xương hàm dưới phát triển quá mức hoặc phần hàm trên kém phát triển thì niềng răng không thể khắc phục triệt để mà phải kết hợp với phẫu thuật chỉnh hàm. Vì vậy trước khi điều trị răng móm, cần phải xác định nguyên nhân thông qua thăm khám, chụp X-quang và phân tích khớp cắn thì mới có thể đưa ra phương pháp tối ưu.
2. Nguyên nhân gây móm răng là gì?
Răng móm (hay còn gọi là khớp cắn ngược) là tình trạng hàm dưới phát triển quá mức, bị đưa ra ngoài nhiều, khiến răng hàm dưới phủ lên răng hàm trên. Điều này làm gương mặt trở nên mất cân đối, ảnh hưởng nghiêm trọng đến khớp cắn và khả năng ăn nhai của bệnh nhân, thậm chí còn gây đau khớp thái dương hàm nếu không được điều trị sớm.
Răng móm có thể dễ dàng nhận biết khi quan sát kỹ gương mặt. Người bị móm có hàm dưới nhô ra, môi dưới cằm bị đưa ra phía trước. Ở góc nghiêng, gương mặt nhìn như bị lõm, gãy khúc. Khi hàm ở trạng thái nghỉ, răng hàm dưới che phủ lên răng hàm trên, khiến khớp cắn 2 hàm không ăn khớp.
Những nguyên nhân dẫn đến tình trạng răng móm là:
- Yếu tố di truyền: Nếu ba mẹ bị móm răng thì con có nguy cơ bị di truyền đặc điểm này.
- Bị móm do răng: Nếu răng hàm trên mọc chậm hoặc bị mất, răng hàm dưới có nguy cơ mọc chìa ra ngoài do thiếu điểm tựa.
- Thói quen xấu: Thói quen đưa hàm dưới ra phía trước có thể gây móm răng.
- Mất răng sớm: Nếu trẻ mất răng cối sữa hàng dưới từ sớm, các răng còn lại có xu hướng mọc ra phía trước để thay thế răng bị mất thực hiện chức năng ăn nhai, từ đó gây móm răng.
- Bị móm do khớp: Phần dây chằng xung quanh khớp hàm bị lỏng sẽ làm hàm bị trượt ra phía trước.
- Nội tiết rối loạn: Xương hàm có nguy cơ phát triển bất thường khi bị rối loạn nội tiết tuyến yên.
- Bị móm do cơ: Các cơ trên mặt bị mất cân bằng có thể làm hàm dưới chìa ra phía trước.
Răng móm nếu không được điều trị sớm sẽ gây ra nhiều ảnh hưởng nghiêm trọng, chẳng hạn:
- Ảnh hưởng thẩm mỹ: Móm hàm sẽ khiến phần cằm trông to và bị đưa ra phía trước. Từ đó, đường nét gương mặt trở nên thô cứng và mất cân đối.
- Ảnh hưởng ăn nhai: Răng móm khiến răng hàm trên và hàm dưới không thể chạm nhau, làm cho bệnh nhân khó cắn, xé và nghiền nát thức ăn. Về lâu dài sẽ tạo áp lực lớn lên hệ tiêu hóa.
- Ảnh hưởng đến phát âm: Người bị móm thường không thể phát âm rõ chữ do hai hàm không ăn khớp, âm thanh truyền ra ngoài bị sai lệch.
- Dẫn đến các bệnh răng miệng: Khớp cắn sai lệch do răng móm khiến cơ hàm phải làm việc quá sức, lâu dần gây co thắt cơ, rối loạn khớp thái dương hàm và đau đầu.

Răng móm gây ảnh hưởng đến khả năng ăn nhai và sức khỏe răng miệng
3. Những lợi ích khi niềng răng móm
Niềng răng móm giúp cải thiện thẩm mỹ khuôn mặt, đồng thời mang lại lợi ích toàn diện cho sức khỏe răng miệng và khớp cắn.
- Khắc phục tình trạng móm: Bằng cách kéo chỉnh phần răng mọc chìa ra phía ngoài về vị trí chuẩn trên cung hàm, niềng răng giúp khắc phục tình trạng răng móm, mang lại hàm răng đều đẹp, khớp cắn cân đối cùng gương mặt thanh thoát hơn.
- Đảm bảo kết quả lâu dài: Sau khi niềng răng móm, nếu chăm sóc tốt răng miệng, đeo hàm duy trì theo chỉ định của bác sĩ và loại bỏ những thói quen không tốt thì bạn có thể giữ vững kết quả điều trị lâu dài, thậm chí là vĩnh viễn.
- Cải thiện chức năng ăn nhai và vệ sinh răng miệng: Móm khiến sai lệch khớp cắn, ảnh hưởng đến chức năng nghiền nát thức ăn. Khi răng được điều chỉnh và khớp cắn chuẩn, việc ăn nhai sẽ dễ dàng hơn. Đồng thời, vấn đề vệ sinh răng miệng thuận lợi hơn, giảm nguy cơ sâu răng, viêm nướu.
- An toàn, không ảnh hưởng đến chức răng của răng: Quá trình dịch chuyển răng sẽ được bác sĩ tính toán trước để điều chỉnh lực kéo vừa phải, giúp răng từ từ về vị trí mới mà không làm tổn thương chân răng.
4. Các phương pháp niềng răng móm
Có 4 phương pháp niềng răng móm phổ biến là niềng răng mắc cài kim loại, niềng răng mắc cài sứ, niềng răng mắc cài tự động và niềng răng Invisalign.
4.1 Niềng răng mắc cài kim loại
Niềng răng mắc cài kim loại là kỹ thuật điều trị răng móm truyền thống, sử dụng mắc cài và dây cung làm từ kim loại không gỉ để kéo chỉnh răng. Phương pháp này có chi phí thấp và mang lại hiệu quả cao đối với tình trạng răng móm, lực kéo hệ thống dây cung và mắc cài sẽ giúp sắp xếp răng cân đối mà không ảnh hưởng đến cấu trúc chân răng.
4.2 Niềng răng mắc cài sứ
Niềng răng mắc cài sứ có cơ chế hoạt động tương tự niềng mắc cài kim loại nhưng phần mắc cài làm từ sứ y tế có màu giống răng, giúp tăng tính thẩm mỹ trong quá trình điều trị. Ngoài ra, loại mắc cài này không gây tổn thương hay kích ứng mô mềm. Tuy nhiên mức giá của niềng răng mắc cài sứ cho răng móm sẽ cao hơn so với niềng răng mắc cài kim loại.
4.3 Niềng răng mắc cài tự động
Niềng răng mắc cài tự động sử dụng mắc cài được thiết kế với cơ chế tự đóng, giúp kết nối với dây cung mà không cần dùng dây thun cố định. Từ đó, lực kéo được duy trì ổn định, giảm ma sát, khiến quá trình niềng răng móm diễn ra nhẹ nhàng, nhanh chóng hơn.
4.4 Niềng răng Invisalign
Niềng răng Invisalign sử dụng khay niềng trong suốt được thiết kế riêng theo khuôn răng của từng bệnh nhân, thay thế cho mắc cài dây cung. Phương pháp này giúp răng móm dịch chuyển nhẹ nhàng, chính xác mà vẫn đảm bảo tính thẩm mỹ, tiện lợi khi giao tiếp, ăn uống hay vệ sinh răng miệng. Tuy nhiên phương pháp này sẽ đạt hiệu quả cao đối với tình trạng răng móm nhẹ.

Các phương pháp niềng răng móm phổ biến
5. Niềng răng móm có đau không?
Khi niềng răng móm, không tránh khỏi cảm giác đau nhức trong một vài thời điểm. Giai đoạn gây đau và khó chịu nhất là lúc mới đeo mắc cài lên răng vì răng chưa kịp thích nghi với lực siết của khí cụ. Tuy nhiên cơn đau này là dấu hiệu cho thấy răng bắt đầu dịch chuyển và chỉ kéo dài trong 1 – 2 ngày nên không cần quá lo lắng.
Bên cạnh đó, mỗi lần điều chỉnh lực siết của niềng cũng sẽ khiến bạn đau trong khoảng 1 – 2 ngày. Để giảm sự khó chịu, bạn có thể uống thuốc giảm đau theo liều lượng được bác sĩ chỉ định. Nếu quá đau nhức, hãy đến nha khoa để bác sĩ kiểm tra lại.
6. Niềng răng móm mất bao lâu?
Niềng răng móm thường mất khoảng 18 – 36 tháng, phụ thuộc vào mức độ móm, nguyên nhân gây móm, phương pháp niềng và tay nghề của bác sĩ. Tình trạng móm càng phức tạp, thời gian điều trị sẽ càng bị kéo dài.
Thời điểm điều trị răng móm tốt nhất ở mỗi độ tuổi là:
- Đối với trẻ em: Trẻ em từ 7 – 13 tuổi là thời điểm tốt nhất niềng răng móm. Vì xương hàm của trẻ dễ nắn chỉnh và đang trong giai đoạn thay răng.
- Đối với người lớn: Đối với người lớn, bác sĩ khuyến khích niềng răng móm càng sớm càng tốt. Mặc dù giai đoạn chỉnh nha tốt nhất đã qua những hiệu quả điều trị răng móm vẫn tương đương như trẻ em, nhưng thời gian sẽ lâu và chi phí điều trị cao hơn.
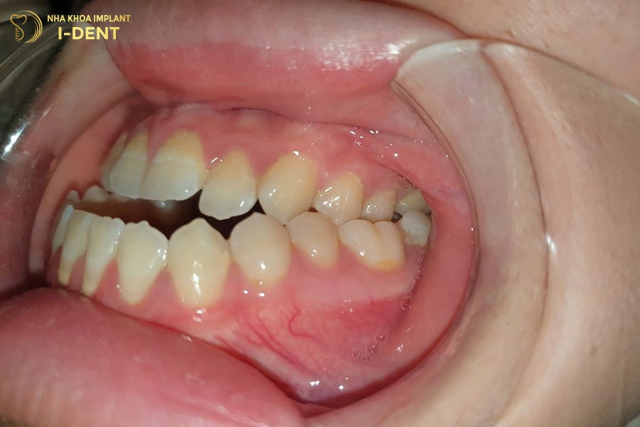
7. Hình ảnh trước và sau khi niềng răng móm
Dưới đây là hình ảnh của khách hàng điều trị răng móm tại Nha khoa I-Dent. Có thể thấy rõ sự thay đổi của khớp cắn, khuôn mặt và nụ cười sau khi niềng.

Hình ảnh trước và sau khi niềng răng móm tại Nha khoa I-Dent

Niềng răng giúp khắc phục hiệu quả tình trạng móm do răng gây ra

Sau khi niềng răng tại I-Dent, tình trạng móm răng được cải thiện rõ rệt
Tình trạng răng móm hoàn toàn có thể khắc phục bằng phương pháp niềng răng, nhưng hiệu quả điều trị phụ thuộc vào nguyên nhân gây móm và phác đồ chỉnh nha của bác sĩ. 2 phương pháp niềng răng móm thường thấy là niềng răng mắc cài và niềng Invisalign đều mang lại hiệu quả điều trị cao, giúp hàm răng đều đẹp và khớp cắn chuẩn chỉnh. Tuy nhiên để đạt hiệu quả tốt và duy trì kết quả lâu dài, bạn nên lựa chọn cơ sở nha khoa uy tín, bác sĩ có tay nghề chuyên sâu và tuân thủ đúng hướng dẫn chăm sóc sau khi niềng.
CHUYÊN SÂU IMPLANT DÀNH CHO NGƯỜI VIỆT
- Cơ sở 1:19V Nguyễn Hữu Cảnh, P.19, Q.Bình Thạnh, TP.Hồ Chí Minh
- Cơ sở 2:193A-195 Hùng Vương, P.9, Quận 5, TP.Hồ Chí Minh
- Cơ sở 3:83 Đường số 3 Khu dân cư Cityland, P.10, Q.Gò Vấp, TP.Hồ Chí Minh
 
         
         
        