Niềng Răng Bị Hóp Má? Nguyên Nhân Và Cách Khắc Phục

- Giám đốc Nha khoa I-DENT
- 10 năm tu nghiệp tại Pháp - hơn 10.000 ca Implant thành công
Niềng răng là phương pháp chỉnh nha khắc phục hiệu quả tình trạng sai lệch khớp cắn, giúp khuôn mặt hài hòa, cân đối hơn. Tuy nhiên, nhiều trường hợp khi niềng răng xong bị hóp má. Đây không phải là tình trạng phổ biến trong niềng răng, nếu xảy ra có thể do thay đổi mất răng lâu ngày, thói quen ăn uống, sinh hoạt không hợp lý. Hiện tượng này gây ảnh hưởng đến thẩm mỹ khuôn mặt nhưng hoàn toàn có thể khắc phục.
1. Niềng răng có bị hóp má không?
Niềng răng không gây hóp má vĩnh viễn. Hầu hết các trường hợp hóp má chỉ là tạm thời, thường xảy ra ở giai đoạn đầu và sẽ hết hoàn toàn sau khi quen với mắc cài hoặc tháo niềng.
Khi niềng răng, nhiều bệnh nhân cảm thấy khuôn mặt gầy đi, phần má hóp lại nên cho rằng niềng răng gây hóp má. Thực chất, niềng răng giúp khuôn mặt cân đối, thon gọn hơn, điều chỉnh khớp cắn đạt chuẩn và răng thẳng đều hơn, đặc biệt với người mặt tròn, hô, móm.
Hóp má khi niềng răng là trường hợp không phổ biến. Nếu má bị hóp có thể do nhiều nguyên nhân khác tác động như điều trị không đúng kỹ thuật hoặc chế độ sinh hoạt không hợp lý. Do đó, khi phát hiện tình trạng má bị hóp, lõm nhiều khiến khuôn mặt mất cân đối, hãy đến nha khoa để bác sĩ kiểm tra và tìm cách khắc phục.

Tại sao lại bị hóp má khi niềng răng?
2. Nguyên nhân niềng răng gây hóp má
Tình trạng bị hóp má khi niềng răng có thể xảy ra bởi những nguyên nhân sau:
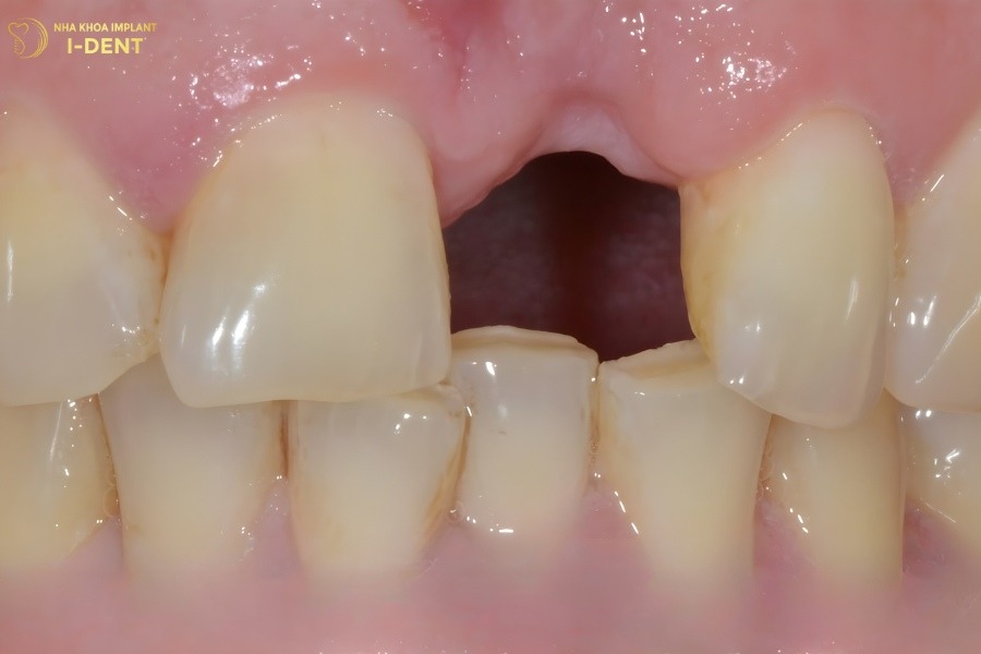
2.1 Mất răng thời gian dài
Mất răng lâu ngày gây hóp má là một trong những hậu quả nghiêm trọng về thẩm mỹ và sức khỏe răng miệng. Đặc biệt là mất răng hàm lớn có thể dẫn đến bị tiêu xương ổ răng. Khác hẳn với tình trạng hóp má tạm thời, mất răng kéo dài sẽ dẫn đến hóp má vĩnh viễn nếu không can thiệp kịp thời.
Trong quá trình niềng để tạo khoảng trống cho răng dịch chuyển, bác sĩ sẽ chỉ định nhổ răng. Thông thường, khoảng trống này sẽ được lấp đầy sau khi quá trình niềng răng kết thúc. Tuy nhiên, nếu tính toán sai lực kéo hoặc điều chỉnh mắc cài và dây cung không chính xác, răng có thể di chuyển lệch vị trí.
Các khoảng trống sau nhổ răng không được đóng kín hoàn toàn, phần xương ổ răng tại vị trí đó sẽ dần tiêu xương theo thời gian. Hậu quả là vùng mô mềm quanh má mất điểm nâng đỡ, khiến má bị chùng xuống, tạo cảm giác hóp má, hóp thái dương.
Thực tế, nếu điều trị niềng răng đúng kỹ thuật thì sẽ phải xảy ra đồng thời tiêu xương và bồi đắp xương. Khi vị trí nhổ răng bị tiêu xương thì sẽ có hiện tượng bồi đắp ở khoảng trống đó. Vì vậy, quá trình niềng răng rất khó xảy ra hiện tượng hóp má.

Mất răng lâu ngày dẫn đến tiêu xương ổ răng làm má bị hóp
2.2 Chế độ ăn uống, sinh hoạt không hợp lý
Khi mới niềng răng, do chưa làm quen với việc đeo mắc cài nên bệnh nhân có thể không thoải mái khi ăn uống nên không muốn ăn và hạn chế ăn nhiều món vì sợ bung mắc cài, khiến cơ thể không cung cấp đủ chất dinh dưỡng. Điều này làm lượng mỡ tích trữ dưới da vùng má giảm sút, làm khuôn mặt trông gầy gò và thiếu sức sống.
Tâm lý căng thẳng, lo lắng và mệt mỏi trong suốt thời gian chỉnh nha cũng gây ảnh hưởng đến chất lượng sinh hoạt của bệnh nhân. Khi stress kéo dài, khả năng hấp thụ chất dinh dưỡng trở nên kém hơn, khiến da chảy xệ, hóp má và thiếu sức sống.

Cảm giác chán ăn làm cơ thể thiếu dinh dương khiến gương mặt hốc hác
2.3 Thói quen ăn nhai
Hệ thống các cơ quanh má, bao gồm cơ gò má, cơ cắn, cơ nâng môi trên… đóng vai trò quan trọng trong việc nâng đỡ và duy trì độ đầy đặn của má. Khi răng và cơ hàm hoạt động nhai thường xuyên, các cơ này được rèn luyện, trở nên chắc khỏe hơn, giúp vùng má căng đầy và săn chắc.
Nhưng trong quá trình niềng răng, nhiều người có xu hướng ăn thức ăn mềm để ít phải nhai hoặc bị đau nên hạn chế hoạt động cơ hàm. Điều này làm các sợi cơ trở nên mềm và lỏng lẻo hơn, dẫn đến việc khả năng nâng đỡ má suy giảm. Do đó phần mô mềm ở má không còn được nâng đỡ tốt, gây hiện tượng chùng má và hóp má.
2.4 Cấu trúc xương hàm thay đổi
Khi răng dịch chuyển, xương hàm cũng phải thay đổi để ăn khớp hơn. Thay đổi này tác động đến cấu trúc gương mặt, bao gồm cơ và mô mỡ má khiến hóp thái dương. Tình trạng hóp má do nguyên nhân này sẽ tự hết sau một thời gian ngắn.
2.5 Niềng răng không đúng kỹ thuật
Niềng răng sai kỹ thuật là nguyên nhân chính khiến nhiều người gặp tình trạng hóp thái dương. Bởi quá trình chỉnh nha yêu cầu kỹ thuật phức tạp, đòi hỏi bác sĩ phải có trình độ chuyên môn cao, nhiều năm kinh nghiệm. Bên cạnh đó, quá trình chỉnh nha phải được hỗ trợ bởi thiết bị hiện đại cùng vật liệu chỉnh nha chính hãng, chất lượng cao.
Ngược lại, nếu thực hiện niềng răng tại những nha khoa kém uy tín, bác sĩ tay nghề hạn chế và trang thiết bị lạc hậu, quá trình chỉnh nha dễ gặp sai sót. Điều này không chỉ khiến người niềng đau đớn, khó chịu, mà còn tăng nguy cơ hóp má, hóp thái dương và ảnh hưởng nghiêm trọng đến thẩm mỹ khuôn mặt.

Bác sĩ kéo siết răng không đều sẽ dẫn tới nguy cơ hóp má khi niềng răng
3. Cách khắc phục tình trạng bị hóp má khi niềng răng
Để khắc phục tình trạng hóp má, hóp thái dương một cách hiệu quả và nhanh chóng thì bạn nên thực hiện những điều sau đây:
3.1 Ăn uống đầy đủ chất dinh dưỡng
Bệnh nhân nên xây dựng chế độ ăn uống ăn hợp lý giúp cơ thể được hấp thu đầy đủ dưỡng chất. Từ đó duy trì cân nặng ổn định, giảm nguy cơ hóp má, hóp thái dương.
- Ăn đủ chất đạm, chất béo, protein giúp bổ sung mô mềm trên má
- Ăn các thực phẩm giàu vitamin C, E, kèm và khoáng chất
- Nên hạn chế ăn những thực phẩm cứng, dai để tránh bung mắc cài.
Ngoài ra, trong lúc ăn cần duy trì ổn định lực nhai, nhai đều hai bên hàm để giữ cơ mặt luôn cân đối. Khi lực nhai ổn định, má sẽ được nâng đỡ, giảm tình trạng má bị chùng và hóp lại.
3.2 Giữ tinh thần luôn thoải mái
Bạn nên kiểm soát căng thẳng và giữ cho tinh thần thoải mái. Đặc biệt chú ý đến vấn đề nghỉ ngơi, ngủ đủ giấc, tránh thức khuya… để giúp cơ thể khỏe mạnh và ngăn ngừa nguy cơ hóp má do cơ thể mệt mỏi, stress.
3.3 Lựa chọn nha khoa uy tín và bác sĩ giỏi
Chỉnh nha không đúng kỹ thuật là nguyên nhân gây hóp má. Do đó, bạn cần tìm hiểu thật kỹ lưỡng để chọn đúng nha khoa uy tín để đảm bảo phác đồ điều trị chính xác, thực hiện bởi bác sĩ có tay nghề cao và khí cụ niềng chất lượng. Qua đó, tình trạng niềng răng bị hóp má sẽ rất ít khi xảy ra.

Những nha khoa uy tín sẽ đảm bảo quá trình niềng răng diễn ra thuận lợi
4. Nha khoa I-Dent – Địa chỉ niềng răng uy tín
Để đảm bảo kết quả niềng răng thành công và hạn chế tối đa tình trạng hóp má hay các biến chứng xấu, bạn cần tìm hiểu kỹ lưỡng để chọn đúng nha khoa chất lượng.
Nha khoa I-Dent tự hào là nha khoa uy tín hàng đầu TPHCM, với đội ngũ bác sĩ nhiều năm kinh nghiệm cùng hệ thống máy móc hiện đại giúp việc niềng răng an toàn, hiệu quả:
- Đội ngũ tiến sĩ, bác sĩ chuyên môn cao, tay nghề giỏi, từng tu nghiệp lâu năm ở nước ngoài. Đồng thời cập nhật thường xuyên những kỹ thuật chỉnh nha mới, ứng dụng về điều trị cho khách hàng, giúp kết quả thành công như mong đợi.
- Nha khoa I-Dent trang bị nhiều máy móc, thiết bị tiên tiến hỗ trợ cho việc thăm khám và điều trị của bác sĩ được chính xác, gồm: máy X-Quang Panorex, phần mềm Vceph 3D, công nghệ scan 3D…
- Đa dạng các loại mắc cài niềng răng chất lượng tốt, xuất xứ chính hãng, giúp nắn chỉnh răng chuẩn xác và nhanh chóng.
- Hệ thống phòng điều trị riêng biệt, mỗi khách hàng được thăm khám 1:1 với bác sĩ, đảm bảo riêng tư, thoải mái.
- Chi phí công khai, minh bạch, cam kết không phát sinh.

Khách hàng được thăm khám và tư vấn hoàn toàn miễn phí tại I-Dent
5. Câu hỏi thường gặp
5.1 Tại sao niềng răng bị hóp má?
Niềng răng bị hóp mà là do mất răng nhiều hoặc chế độ ăn uống, sinh hoạt không hợp lý, thói quen ăn nhai hoặc stress kéo dài, khiến cơ má bị chùng xuống nên cảm giác má bị hóp đi.
5.2 Niềng răng có bị hóp thái dương không?
Niềng răng có thể gây hóp thái dương, do chế độ ăn uống không hợp lý, ăn nhai khó khăn, căng thẳng dẫn đến sụt cân, nhưng tình trạng này chỉ tạm thời. Để khắc phục, bạn cần tuân thủ chỉ định của bác sĩ, ăn uống đầy đủ dưỡng chất và nghỉ ngơi hợp lý.
5.3 Niềng răng có bị hóp mặt không?
Niềng răng không gây hóp mặt, phương pháp chỉ giúp khuôn mặt trong thon gọn và cân đối hơn, do tác động của hiệu quả chỉnh nha, điều chỉnh khớp cắn về đúng vị trí.
Tóm lại, niềng răng không gây hóp má, tình trạng hóp má có thể do nhiều nguyên nhân khác. Để phòng tránh tình trạng hóp má khi niềng răng, bệnh nhân nên lựa chọn nha khoa uy tín, duy trì chế độ ăn uống đầy đủ dinh dưỡng và giữ tinh thần thoải mái. Nếu bạn đang băn khoăn về tình trạng hóp má hoặc lo lắng rủi ro trong quá trình chỉnh nha, hãy liên hệ ngay Nha khoa I-Dent để được bác sĩ chuyên môn cao tư vấn miễn phí.
CHUYÊN SÂU IMPLANT DÀNH CHO NGƯỜI VIỆT
- Cơ sở 1:19V Nguyễn Hữu Cảnh, P.19, Q.Bình Thạnh, TP.Hồ Chí Minh
- Cơ sở 2:193A-195 Hùng Vương, P.9, Quận 5, TP.Hồ Chí Minh
- Cơ sở 3:83 Đường số 3 Khu dân cư Cityland, P.10, Q.Gò Vấp, TP.Hồ Chí Minh