Mất Răng Số 6 Lâu Năm Trồng Lại Bằng Cách Nào?

- Giám đốc Nha khoa I-DENT
- 10 năm tu nghiệp tại Pháp - hơn 10.000 ca Implant thành công
Mất răng số 6 lâu năm làm suy giảm khả năng ăn nhai và gây ra hàng loạt hậu quả nghiêm trọng như tiêu xương hàm, lệch khớp cắn, biến dạng khuôn mặt và lão hóa sớm. Răng số 6 là răng cối lớn, đóng vai trò quan trọng để nghiền nát thức ăn nên khi mất răng số 6 lâu ngày thì toàn bộ cấu trúc hàm và sức khỏe răng miệng đều bị ảnh hưởng. Để khắc phục, bệnh nhân cần đến nha khoa để được thăm khám và tư vấn phương pháp phục hồi phù hợp như làm cầu răng sứ hoặc cấy implant nhằm khôi phục chức năng ăn nhai và ngăn ngừa biến chứng lâu dài.
1. Răng số 6 nằm ở vị trí nào? Có vai trò gì?
Răng số 6 là chiếc răng cối lớn nằm ở vị trí thứ 6 tính từ răng cửa vào trong. Đây là răng vĩnh viễn mọc sớm nhất trong nhóm răng hàm, nằm ở trung tâm của cung hàm ngay sau răng số 5 và trước răng số 7. Răng số 6 có kích thước lớn nhất trong toàn hàm, có từ 2 đến 4 chân răng bám chắc vào xương hàm, bề mặt răng rộng với nhiều gờ và rãnh giúp nghiền nát thức ăn hiệu quả.
Chức năng chính của răng số 6 là nghiền nát và nhai nhuyễn thức ăn trước khi nuốt, giúp hệ tiêu hóa hoạt động hiệu quả hơn. Ngoài ra, răng số 6 còn đóng vai trò duy trì sự cân đối cho khuôn mặt và giữ vững cấu trúc khớp cắn của toàn hàm.
Cũng chính vì giữ vai trò quan trọng này mà răng số 6 còn được gọi là răng cấm. Răng số 6 chỉ mọc duy nhất 1 lần trong đời và nếu răng mất đi thì không thể mọc lại, gây ra nhiều hậu quả nghiêm trọng như tiêu xương hàm, lệch khớp cắn, giảm khả năng nhai và ảnh hưởng đến sức khỏe toàn thân. Đặc biệt, răng số 6 còn có mối liên hệ mật thiết với xoang hàm nên khi răng mất có thể ảnh hưởng trực tiếp đến khả năng vận động và chức năng của toàn bộ khối hàm.

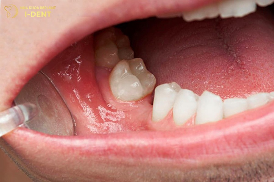
Răng số 6 là răng cối lớn đảm nhiệm chức năng nghiền nát thức ăn.
2. Nguyên nhân gây mất răng số 6 lâu năm
Tình trạng mất răng số 6 lâu năm thường xảy ra do các nguyên nhân sau:
- Sâu răng: Răng số 6 mọc sớm (khoảng 6–8 tuổi) khi trẻ chưa biết cách chăm sóc răng miệng đúng nên dễ bị sâu. Khi sâu tiến triển nặng sẽ phá hủy men răng và ngà răng dẫn đến viêm tủy, áp xe hoặc gãy vỡ thân răng nên phải nhổ bỏ răng.
- Viêm nha chu quanh răng: Các bệnh lý viêm lợi, viêm quanh răng khiến mô nướu và xương ổ răng bị tiêu dần, chân răng yếu và lung lay. Khi tình trạng viêm trở nên nghiêm trọng thì răng số 6 không còn đủ độ bám vững chắc nên buộc phải nhổ để tránh lây lan sang răng kế cận.
- Tai nạn hoặc chấn thương gãy, vỡ chân răng: Các va đập mạnh do té ngã, tai nạn hoặc thói quen cắn vật cứng có thể làm nứt, gãy thân hoặc chân răng. Trường hợp tổn thương quá sâu không thể phục hồi sẽ dẫn đến mất răng số 6 vĩnh viễn.

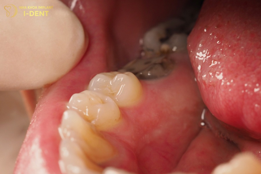
Nguyên nhân gây mất răng số 6 lâu năm.
3. Mất răng số 6 lâu năm gây ra hậu quả gì?
Khi mất răng số 6 lâu năm mà không phục hình thì toàn bộ hệ thống răng hàm và khuôn mặt đều bị ảnh hưởng nghiêm trọng. Dưới đây là những hậu quả thường gặp:
3.1. Làm yếu các răng bên cạnh
Mất răng số 6 lâu năm làm cho lực nhai bị dồn sang các răng kế cận như răng số 5 và răng số 7 khiến chúng hoạt động quá tải. Lâu dần các răng này sẽ yếu đi, lung lay hoặc dễ bị nứt gãy.

Mất răng số 6 lâu năm làm yếu các răng bên cạnh.
3.2. Gây mất ổn định các răng
Khi mất răng số 6 lâu năm thì khoảng trống trên cung hàm khiến các răng lân cận mất điểm tựa và dần xô nghiêng về vị trí trống. Đồng thời, các răng đối diện không còn răng ăn khớp nên có xu hướng trồi xuống làm sai lệch khớp cắn tự nhiên. Hiện tượng này khiến cấu trúc hàm mất ổn định và ảnh hưởng đến sự cân bằng của toàn bộ cung răng.
3.3. Viêm nhiễm răng miệng
Khoảng trống do mất răng số 6 lâu năm là nơi dễ tích tụ thức ăn và mảng bám tạo điều kiện cho vi khuẩn phát triển. Nếu không vệ sinh kỹ thì tình trạng này sẽ dẫn đến viêm lợi, hôi miệng và sâu răng lan sang các răng kế cận.
Ngoài ra, mất răng số 6 mà không điều trị kịp thời còn khiến mô nướu và tủy răng dễ bị viêm nhiễm, gây đau nhức âm ỉ trong vòm miệng. Bệnh nhân có thể gặp tình trạng nướu sưng tấy, chảy máu thường xuyên khi chải răng hoặc xỉa răng, làm suy giảm sức khỏe răng miệng và làm tăng nguy cơ mất thêm các răng khác.

Mất răng số 6 lâu năm gây viêm nhiễm răng miệng.
3.4. Ảnh hưởng quá trình tiêu hóa
Răng số 6 đảm nhiệm chức năng chính là nghiền nát và nhai nhuyễn thức ăn trước khi nuốt. Khi mất răng này thì quá trình nhai nghiền bị gián đoạn làm cho thức ăn không được nghiền đủ nhỏ. Hậu quả là hệ tiêu hóa phải hoạt động nhiều hơn để xử lý lượng thức ăn chưa được nghiền kỹ nên sẽ gây quá tải cho dạ dày. Về lâu dài, tình trạng này sẽ dẫn đến rối loạn tiêu hóa, đau dạ dày, đầy hơi, kém hấp thu dinh dưỡng và ảnh hưởng đến sức khỏe toàn thân.
3.5. Tiêu xương hàm
Sau khi mất răng số 6 thì vùng xương hàm tại vị trí đó không còn chịu tác động của lực nhai từ chân răng. Theo thời gian, xương ổ răng sẽ dần bị tiêu đi do không còn kích thích duy trì mật độ xương, kéo theo tình trạng tụt nướu. Tiêu xương hàm càng nhiều, khu vực đó càng lõm xuống gây khó khăn khi trồng răng sau này.

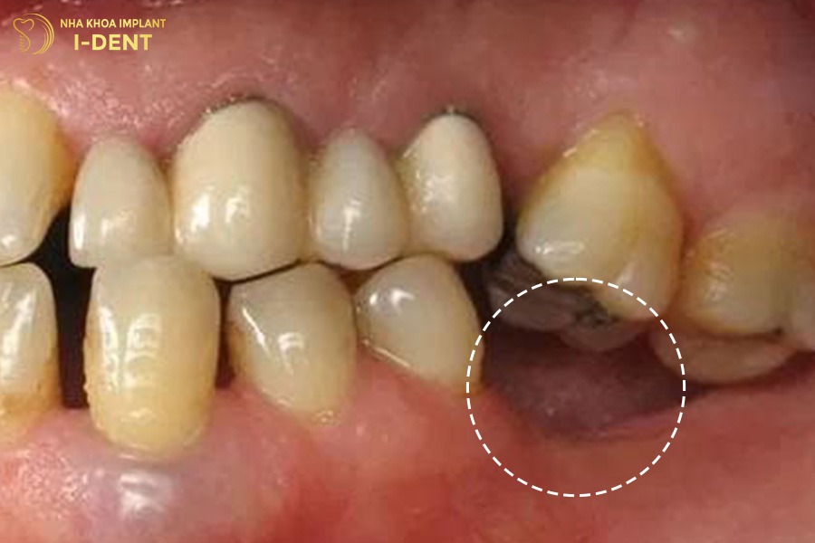
Sau khi mất răng số 6 thì xương hàm tại vị trí đó tiêu biến dần.
3.6. Lão hóa sớm
Mất răng số 6 lâu năm làm xương hàm bị tiêu dần dẫn đến hiện tượng hóp má, chảy xệ vùng da quanh miệng và làm gương mặt trở nên già nua hơn so với tuổi thật. Khi cấu trúc xương hàm không còn được nâng đỡ, phần mô mềm trên khuôn mặt cũng mất đi sự săn chắc nên nếp nhăn xuất hiện sớm hơn, đặc biệt là ở vùng má và khóe miệng.
3.7. Lệch hàm, lệch mặt
Khi mất răng hàm số 6 thì bệnh nhân sẽ có xu hướng ăn nhai nhiều hơn ở bên còn lại khi đó lực nhai sẽ không được phân bố đều và dẫn đến tình trạng lệch hàm. Lâu dần, sự mất cân đối này làm cho gương mặt bị lệch và biến dạng, đồng thời ảnh hưởng đến khớp thái dương hàm gây đau mỏi khi ăn nhai hoặc há miệng.
4. Phương pháp phục hình răng số 6 hiện nay
Có hai phương pháp phổ biến được áp dụng để phục hình răng số 6 đã mất là làm cầu răng sứ và trồng răng implant.
4.1. Phương pháp cầu răng sứ
Cầu răng sứ là phương pháp phục hình răng bằng kỹ thuật sử dụng các răng kế cận làm trụ đỡ. Bác sĩ sẽ mài nhỏ hai răng thật kế cận (răng số 5 và răng số 7) để làm trụ, sau đó gắn cầu gồm 3 mão sứ liền nhau lên trên để thay thế cho răng số 6 đã mất.
Ưu điểm:
- Thời gian thực hiện nhanh chỉ mất 2–3 ngày.
- Chi phí thấp.
Nhược điểm:
- Cần mài nhỏ hai răng thật kế cận nên sẽ làm răng thật yếu đi.
- Không ngăn được tình trạng tiêu xương hàm tại vị trí mất răng.
- Tuổi thọ trung bình chỉ khoảng 7–10 năm và phải làm lại nhiều lần.
- Nếu chăm sóc không tốt thì răng trụ dễ bị sâu, viêm tủy và gây hôi miệng.
4.2. Phương pháp trồng răng implant
Trồng răng implant là quá trình cấy ghép trụ implant nhân tạo làm bằng titanium vào xương hàm để thay thế chân răng thật đã mất. Sau đó, bác sĩ sẽ mão răng sứ lên trụ này thông qua một khớp nối (abutment) để tạo thành một chiếc răng hoàn chỉnh, khôi phục hoàn toàn chức năng ăn nhai và thẩm mỹ cho bệnh nhân.
Ưu điểm
- Phục hồi toàn diện cả chân răng và thân răng nên mang lại cảm giác nhai tự nhiên như răng thật.
- Ngăn ngừa tiêu xương hàm hiệu quả.
- Không cần mài răng kế cận nên bảo tồn răng thật tối đa.
- Tuổi thọ cao, có thể sử dụng trọn đời nếu chăm sóc tốt.
- Đảm bảo tính thẩm mỹ cao, khớp cắn ổn định và bền vững lâu dài.
Nhược điểm
- Chi phí cao hơn so với các phương pháp khác.
- Thời gian điều trị kéo dài, mất 2-6 tháng để trụ implant tích hợp hoàn toàn với xương hàm.
- Cần được thực hiện bởi bác sĩ chuyên khoa có tay nghề cao và trang thiết bị hiện đại để đảm bảo an toàn.

Trồng răng implant để phục hình răng số 6 đã mất lâu năm.
5. Địa chỉ trồng răng số 6 uy tín TPHCM
Nha khoa I-Dent tự hào là địa chỉ trồng răng số 6 uy tín tại TP.HCM được hơn 22.000 bệnh nhân tin tưởng lựa chọn bởi đáp ứng được các tiêu chí từ bác sĩ chuyên môn giỏi, trang thiết bị hiện đại đến chất lượng dịch vụ đạt chuẩn Quốc tế ISO Vương quốc Anh
- Đội ngũ bác sĩ CKI, CKII hơn 10 năm kinh nghiệm chuyên sâu về implant, có thời gian tu nghiệp tại Pháp, Ý, Mỹ,… thành thạo các kỹ thuật trồng răng tiên tiến nhất, đảm bảo việc thực hiện diễn ra êm ái, nhẹ nhàng và đạt hiệu quả tốt nhất.
- Trang thiết bị nha khoa hiện đại bậc nhất thế giới gồm máy chụp phim 3D CT Cone Beam, máy scan dấu răng Itero thế hệ mới nhất, máy lấy dấu implant PIC,… giúp cho việc phục hình răng số 6 chính xác và lành thương nhanh.
- I-Dent sử dụng trụ Implant chính hãng từ các thương hiệu nổi tiếng như Mis C1 (Đức), Tekka (Pháp), Straumann (Thụy Sỹ), giúp nâng cao khả năng tích hợp xương và phục hồi chức năng ăn nhai đạt đến 99%.
- Phòng điều trị đảm bảo yếu tố vô trùng chuẩn yêu cầu của bộ Y tế, đạt chuẩn chất lượng ISO Vương Quốc Anh, từ đó giúp tránh được tối đa nguy cơ nhiễm trùng, lây nhiễm chéo.
6. Câu hỏi thường gặp
6.1. Mất răng số 6 lâu năm có trồng lại được không?
Mất răng số 6 lâu năm có thể trồng lại răng bằng phương pháp cấy ghép implant hoặc cầu răng sứ. Tuy nhiên, do thời gian mất răng đã quá lâu nên xương hàm của bệnh nhân có thể bị tiêu nhiều, khi đó bác sĩ sẽ chỉ định ghép xương hoặc nâng xoang trước khi trồng răng để đảm bảo độ bền vững và tích hợp xương tốt.
6.2. Chi phí trồng răng số 6 là bao nhiêu?
Giá trồng răng số 6 dao động từ 1.500.000 – 35.000.000 VNĐ/răng tùy vào tình trạng xương hàm của bệnh nhân và phương pháp thực hiện. Cầu răng sứ dao động từ 1.500.00 – 18.000.000 VNĐ/răng. Trồng răng implant chi phí từ 13.000.000 – 35.000.000 VNĐ/răng, chưa bao gồm chi phí khác như ghép xương (nếu cần).
Tóm lại, mất răng số 6 lâu năm ngoài ảnh hưởng đến khả năng ăn nhai còn gây tiêu xương hàm, xô lệch răng, thay đổi cấu trúc khuôn mặt và đẩy nhanh quá trình lão hóa. Do đó, bệnh nhân nên phục hình răng số 6 bị mất sớm bằng cầu răng sứ hoặc trồng răng implant để khôi phục chức năng ăn nhai, ngăn ngừa tiêu xương và duy trì thẩm mỹ khuôn mặt. Để đạt kết quả tốt nhất, bệnh nhân nên đến nha khoa uy tín để được thăm khám và tư vấn phương án điều trị phù hợp.
CHUYÊN SÂU IMPLANT DÀNH CHO NGƯỜI VIỆT
- Cơ sở 1:19V Nguyễn Hữu Cảnh, P.19, Q.Bình Thạnh, TP.Hồ Chí Minh
- Cơ sở 2:193A-195 Hùng Vương, P.9, Quận 5, TP.Hồ Chí Minh
- Cơ sở 3:83 Đường số 3 Khu dân cư Cityland, P.10, Q.Gò Vấp, TP.Hồ Chí Minh