Nhổ răng số 8 hàm trên có nguy hiểm không? Có nên nhổ?

- Giám đốc Nha khoa I-DENT
- 10 năm tu nghiệp tại Pháp - hơn 10.000 ca Implant thành công
Nhổ răng số 8 hàm trên không nguy hiểm nếu được thực hiện tại cơ sở uy tín vì cấu trúc xương hàm trên xốp, chân răng thường thẳng và ít gây biến chứng thần kinh hơn hàm dưới. Bạn nên nhổ răng số 8 hàm trên khi răng mọc lệch, mọc ngầm hoặc gây đau nhức kéo dài. Điều này sẽ giúp ngăn ngừa triệt để tình trạng viêm nhiễm, sâu răng số 7 và bảo vệ sức khỏe răng miệng toàn diện.
1. Nhổ răng số 8 hàm trên có nguy hiểm không?
Nhổ răng số 8 hàm trên không nguy hiểm do cấu trúc xương hàm trên có độ xốp cao giúp việc lấy chân răng ra dễ dàng, đồng thời hệ thống dây thần kinh tại đây ít phức tạp hơn so với hàm dưới. Cụ thể, răng khôn hàm trên thường có chân răng chụm, không lắt léo như hàm dưới, giúp giảm thiểu đáng kể thời gian xâm lấn và sang chấn mô mềm.
Ngoài ra, với sự hỗ trợ của công nghệ nhổ răng siêu âm hiện đại, cảm giác đau nhức và chảy máu được kiểm soát tối ưu, giúp bệnh nhân phục hồi chỉ sau vài ngày.
Theo nghiên cứu của Hiệp hội Nha khoa Hoa Kỳ (ADA), tỷ lệ biến chứng khi nhổ răng khôn hàm trên thấp hơn đáng kể so với hàm dưới, với hơn 95% ca phẫu thuật diễn ra thuận lợi mà không để lại di chứng lâu dài.

Nhổ răng số 8 hàm trên có nguy hiểm không là thắc mắc của nhiều người.
2. Có nên nhổ răng số 8 hàm trên không?
Bạn nên nhổ răng số 8 hàm trên nếu răng mọc lệch gây đau nhức, nhưng có thể giữ lại nếu răng mọc thẳng và thực hiện được chức năng ăn nhai bình thường.
Dưới đây là những phân tích chi tiết về các tình huống cụ thể giúp bạn đưa ra quyết định chính xác nhất:
2.1. Trường hợp nên nhổ răng số 8 hàm trên
Việc nhổ răng răng số 8 hàm trên là bắt buộc khi gặp các vấn đề ảnh hưởng đến các răng lân cận hoặc gây bệnh lý:
- Răng mọc lệch, mọc ngầm: Gây đau nhức dữ dội, làm xô lệch toàn bộ hệ thống răng trên hàm.
- Gây sâu răng số 7: Do vị trí trong cùng khó vệ sinh, thức ăn giắt vào tạo ổ vi khuẩn tấn công răng hàm chính.
- Viêm lợi trùm: Phần lợi che lấp một phần răng gây sưng tấy, mưng mủ và hôi miệng.
- Răng mọc thẳng nhưng không có răng đối diện: Khiến răng số 8 hàm trên trồi dài xuống, gây lệch khớp cắn và tổn thương nướu hàm đối diện.

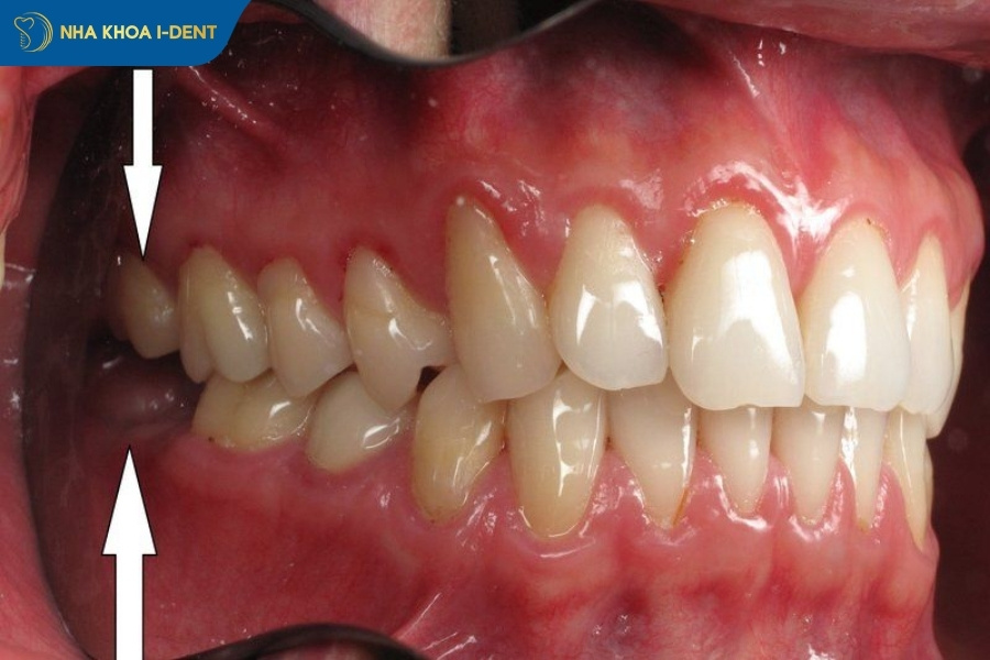
Răng khôn hàm trên mọc ngầm, mọc lệch gây viêm nhiễm và đau nhức thì nên nhổ bỏ.
2.2. Trường hợp không nên nhổ răng số 8 hàm trên
Bác sĩ sẽ khuyên bệnh nhân không nên nhổ răng số 8 trong các trường hợp răng mọc thẳng khỏe mạnh, bệnh nhân có bệnh lý nền hoặc liên quan trực tiếp đến xoang hàm:
- Răng mọc thẳng và khỏe mạnh: Răng mọc đúng vị trí, không bị lợi trùm và tham gia tốt vào quá trình nhai.
- Bệnh nhân có bệnh lý nền nặng: Người mắc bệnh máu khó đông, tiểu đường không kiểm soát hoặc bệnh tim mạch nghiêm trọng cần cân nhắc kỹ.
- Răng liên quan trực tiếp đến xoang hàm: Nếu chân răng nằm quá sâu trong xoang hàm và việc nhổ bỏ nguy cơ gây thủng xoang, bác sĩ có thể chỉ định theo dõi thêm.
3. Lợi ích khi nhổ răng số 8 đối với sức khỏe
Nhổ răng số 8 hàm trên mang lại lợi gồm giảm đau nhức, ngăn ngừa viêm nhiễm, bảo vệ cấu trúc hàm răng và tạo thuận lợi cho việc vệ sinh hàng ngày.
- Giảm đau nhức do răng khôn gây ra: Răng số 8 thường mọc lệch hoặc không đúng vị trí, dẫn đến tăng áp lực lên dây thần kinh và các mô xung quanh gây đau. Khi được nhổ bỏ, áp lực này được giải tỏa hoàn toàn, giúp bạn chấm dứt những cơn đau buốt.
- Ngăn ngừa viêm nhiễm tái phát: Răng khôn bị kẹt hoặc mọc lệch thường tạo ra những túi nướu dễ tích tụ vi khuẩn gây viêm lợi trùm và nhiễm trùng. Nhổ răng khôn hàm trên giúp loại bỏ ổ viêm, giữ cho vùng nướu luôn sạch và khỏe mạnh.
- Cải thiện tình trạng răng miệng tổng thể: Răng khôn hàm trên mọc lệch có xu hướng đẩy các răng lân cận, làm xô lệch các răng phía trước. Khi nhổ bỏ răng số 8 hàm trên, bạn có thể duy trì sự sắp xếp thẳng hàng của bộ răng, đảm bảo tính thẩm mỹ và chức năng nhai.
- Giúp vệ sinh răng miệng thuận lợi: Răng số 8 hàm trên nằm khuất trong cung hàm, khiến việc vệ sinh khó khăn, dẫn đến tích tụ thức ăn và vi khuẩn. Việc nhổ răng giúp loại bỏ góc khuất này, ngăn ngừa sâu răng số 7 hay viêm nha chu lan rộng.
4. Quy trình nhổ răng số 8 hàm trên như thế nào?
Quy trình nhổ răng số 8 hàm trên chuẩn y khoa bao gồm 4 bước chính: Thăm khám và chụp X-quang, vệ sinh và gây tê, Thực hiện nhổ răng và cuối cùng là hướng dẫn chăm sóc hậu phẫu.
- Bước 1: Thăm khám và chụp X-quang: Bác sĩ sử dụng phim chụp Panorama để xác định vị trí chân răng, độ lệch và khoảng cách tới xoang hàm.
- Bước 2: Vệ sinh khoang miệng và gây tê: Bác sĩ sẽ vệ sinh toàn bộ khoang miệng bằng dung dịch sát khuẩn chuyên dụng và sau đó gây tê trước 10-20 phút trước khi nhổ để giúp bệnh nhân hoàn toàn không thấy đau trong suốt quá trình thực hiện.
- Bước 3: Nhổ răng khôn hàm trên: Bác sĩ sử dụng dụng cụ chuyên dụng (hoặc máy siêu âm Piezotome) để làm lung lay và đưa răng ra ngoài một cách nhẹ nhàng. Sau đó, bác sĩ sẽ tiến hành khâu vết thương và vệ sinh sạch sẽ
- Bước 4: Kê đơn thuốc và hẹn lịch tái khám: Bác sĩ sẽ kê đơn thuốc để hỗ trợ giảm đau, giúp vết thương lâu lành, đồng thời hướng dẫn cách chăm sóc và hẹn lịch tái khám (nếu có).
4. Lưu ý trước và sau khi nhổ răng số 8 hàm trên
Giai đoạn chuẩn bị đóng vai trò quyết định đến sự an toàn của ca nhổ răng số 8 hàm trên:
- Hãy cho bác sĩ biết về tình trạng sức khỏe toàn thân, đặc biệt là các bệnh về máu, tim mạch và các loại thuốc bạn đang sử dụng.
- Thảo luận kỹ với bác sĩ về loại thuốc gây tê hoặc tiền mê sẽ sử dụng để đảm bảo bạn không bị dị ứng.
- Hỏi rõ bác sĩ về thời gian hồi phục dự kiến để điều chỉnh lịch trình làm việc và học tập sao cho hợp lý nhất.
Sau khi nhổ răng khôn hàm trên, cơ thể cần một khoảng thời gian để hình thành cục máu đông và tái tạo mô. Trong 3 ngày đầu tiên, bạn cần lưu ý:
Những việc nên làm:
- Chườm lạnh trong 24 giờ đầu để cầm máu và giảm sưng; từ ngày thứ 2 chuyển sang chườm ấm để tăng cường lưu thông máu, giúp tan máu bầm.
- Luyện tập mở và khép miệng nhẹ nhàng để tránh tình trạng cứng hàm sau khi thuốc tê hết tác dụng.
- Ưu tiên thực phẩm mềm, lỏng, giàu dinh dưỡng như súp, cháo, mì ống và uống nhiều nước để giữ độ ẩm cho khoang miệng.
- Đánh răng nhẹ nhàng, tránh tác động trực tiếp vào vùng huyệt ổ răng vừa nhổ để không làm bong cục máu đông.
- Uống thuốc giảm đau, kháng sinh đúng liều lượng và thời gian theo chỉ định của bác sĩ.
Những việc tuyệt đối không nên làm:
- Tránh súc miệng quá mạnh hoặc dùng ống hút trong ngày đầu.
- Không ăn đồ cứng, giòn, dính hoặc thức ăn quá cay nóng vì chúng dễ gây kích ứng và làm trầy xước vết thương.
- Tuyệt đối không hút thuốc lá do các chất độc hại làm co mạch, cản trở oxy đến vùng tổn thương, khiến vết thương rất lâu lành.

Tuyệt đối không được hút thuốc lá sau khi nhổ răng khôn hàm trên.
5. Địa chỉ nhổ răng số 8 hàm trên an toàn và không đau
Nha khoa I-DENT là địa chỉ uy tín hàng đầu trong lĩnh vực nhổ răng khôn nhờ sở hữu đội ngũ bác sĩ chuyên khoa giàu kinh nghiệm và hệ thống trang thiết bị hiện đại bậc nhất.
Tại I-DENT, khách hàng sẽ được trải nghiệm công nghệ nhổ răng siêu âm Piezotome giúp giảm đau nhức ở mức độ tối thiểu và rút ngắn thời gian lành thương. Cùng với đó là quy trình vô trùng từ dụng cụ nhổ răng đến phòng điều trị đều đạt chuẩn ISO Vương Quốc Anh, mang đến cho bạn trải nghiệm nhổ răng số 8 hàm trên nhẹ nhàng, an toàn và hoàn toàn không đau.

Nha khoa I-Dent là địa chỉ nhổ răng số 8 hàm trên uy tín và an toàn.
Tóm lại, nhổ răng số 8 hàm trên không nguy hiểm nếu được thực hiện tại nha khoa uy tín. Việc chủ động loại bỏ răng khôn hàm trên mọc lệch không chỉ giúp bạn chấm dứt những cơn đau phiền toái mà còn ngăn chặn hiệu quả các rủi ro về viêm nhiễm, sâu răng số 7 hay xô lệch cung hàm.
CHUYÊN SÂU IMPLANT DÀNH CHO NGƯỜI VIỆT
- Cơ sở 1:19V Nguyễn Hữu Cảnh, P.19, Q.Bình Thạnh, TP.Hồ Chí Minh
- Cơ sở 2:193A-195 Hùng Vương, P.9, Quận 5, TP.Hồ Chí Minh
- Cơ sở 3:83 Đường số 3 Khu dân cư Cityland, P.10, Q.Gò Vấp, TP.Hồ Chí Minh