Bị Rụng Răng Có Sao Không? Nguyên Nhân Và Cách Khắc Phục

- Giám đốc Nha khoa I-DENT
- 10 năm tu nghiệp tại Pháp - hơn 10.000 ca Implant thành công
Bị rụng răng có thể xuất phát từ nguyên nhân chấn thương, viêm nha chu hoặc các bệnh lý toàn thân như tiểu đường, thiếu hụt dinh dưỡng,.. Khi mất răng thì lực nhai bị giảm, nướu và xương hàm dần tiêu biến làm cho khuôn mặt lão hóa nhanh hơn. Tuy nhiên, với sự phát triển của nha khoa hiện đại, tình trạng rụng răng hoàn toàn có thể được khắc phục hiệu quả bằng các giải pháp như trồng răng implant, cầu răng sứ hoặc hàm giả tháo lắp.
1. Nguyên nhân gây rụng răng sớm
Rụng răng sớm có thể xảy ra ở cả người trẻ lẫn người lớn tuổi do nhiều nguyên nhân khác nhau:
1.1. Mất răng do chấn thương
Khi một lực mạnh tác động trực tiếp vào vùng miệng như va chạm, té ngã, bị bóng đập vào mặt hoặc tai nạn giao thông sẽ dễ làm răng bị gãy, lung lay hoặc bật ra khỏi ổ răng. Ngoài ra, các thói quen tưởng chừng như vô hại trong sinh hoạt hằng ngày cũng có thể làm rụng răng:
- Dùng răng để mở nắp chai, cắn vỡ đá viên hoặc hạt cứng như bỏng ngô chưa bung nở.
- Cắn vật cứng như đầu bút hay móc quần áo.
- Dùng răng xé tem nhãn hoặc tháo nút thắt.
- Cắn hoặc nghiến răng khi căng thẳng, thói quen này gây mòn men răng, viêm khớp thái dương hàm và làm răng yếu dần.
- Dấu cắn không đều làm cho một vài răng phải chịu lực nhai quá mức, lâu ngày dẫn đến lung lay và gãy rụng.
1.2. Bị rụng răng do biểu hiện bệnh lý
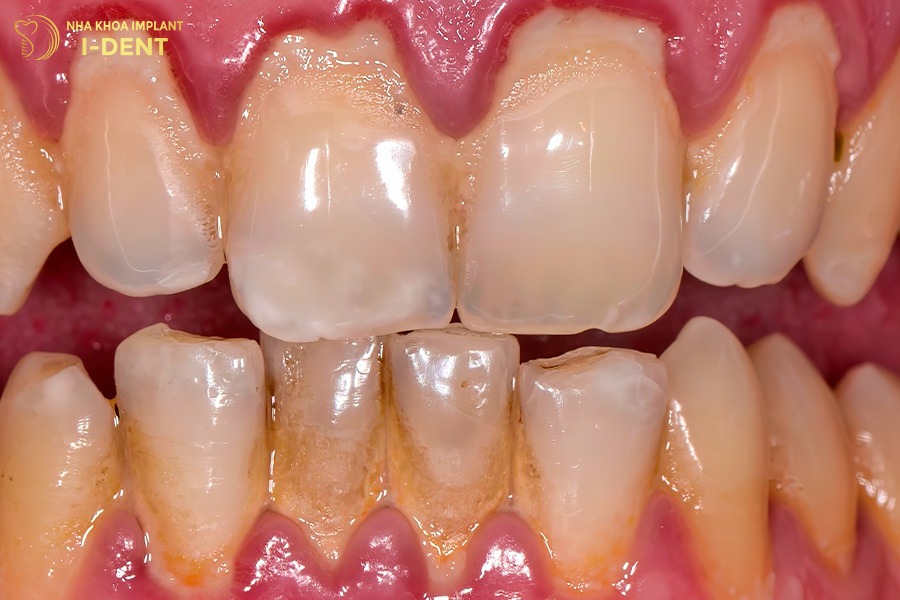
Một trong những nguyên nhân phổ biến khiến răng bị rụng sớm là do các bệnh lý răng miệng như viêm nướu và viêm nha chu. Khi mảng bám tích tụ lâu ngày, vi khuẩn sẽ tấn công mô nướu, phá hủy dây chằng và xương ổ răng làm răng bị lung lay, đau nhức và cuối cùng là mất răng.
Thói quen vệ sinh răng miệng kém và không đi khám nha khoa định kỳ là yếu tố khiến bệnh tiến triển nhanh hơn. Ngoài ra, một số yếu tố nguy cơ khác cũng làm tăng khả năng rụng răng:
- Hút thuốc lá làm giảm lưu thông máu đến nướu, khiến nướu dễ viêm và khó lành.
- Bệnh toàn thân như tiểu đường, tăng huyết áp hoặc viêm khớp ảnh hưởng đến sức khỏe mô nướu và xương hàm.
- Thay đổi hormone trong thai kỳ khiến nướu nhạy cảm, dễ sưng viêm hơn.
- Chế độ ăn uống thiếu chất và khả năng vệ sinh cá nhân bị hạn chế ở người cao tuổi, trẻ nhỏ hoặc người khuyết tật cũng làm tăng nguy cơ mất răng.
Thực tế, bệnh nha chu khởi phát sớm cũng là mối lo đáng quan tâm. Theo các bác sĩ nha khoa, nếu một bệnh nhân dưới 40 tuổi đã xuất hiện bệnh nha chu thì cần đặc biệt chú ý vì đây là nhóm bệnh nhân có nguy cơ tiêu xương và rụng răng cao hơn mức bình thường.

Viêm nướu và nha chu là nguyên nhân hàng đầu dẫn đến rụng răng.
2. Bị rụng răng có sao không?
Rụng răng có thể xảy ra do nhiều nguyên nhân như chấn thương, bệnh lý răng miệng, tuổi tác hoặc yếu tố di truyền. Dù là mất răng tự nhiên hay do tai nạn, việc thiếu đi một chiếc răng đều gây ảnh hưởng đến sức khỏe bệnh nhân. Khi một chiếc răng mất đi, cấu trúc trong khoang miệng bị mất cân bằng, kéo theo nhiều biến chứng nguy hiểm.
2.1. Ảnh hưởng đến khả năng ăn nhai và tiêu hóa
Răng đóng vai trò chính để nghiền nát thức ăn trước khi đưa xuống dạ dày. Khi bị mất răng đặc biệt là các răng hàm thì lực nhai sẽ bị giảm làm cho thức ăn không được nghiền nhỏ. Hệ tiêu hóa phải hoạt động nhiều hơn để xử lý, lâu ngày gây đầy hơi, khó tiêu hoặc đau dạ dày.
Người mất răng cũng thường có xu hướng ăn nhai lệch về một bên, dẫn đến mỏi cơ hàm và khớp thái dương hàm. Việc ăn uống trở nên khó khăn, giảm cảm giác ngon miệng và ảnh hưởng đến hấp thu dinh dưỡng.

Bị rụng răng ảnh hưởng đến khả năng ăn nhai và hệ tiêu hóa.
2.2. Tiêu xương hàm, biến dạng khuôn mặt
Khi răng bị mất, phần xương ổ răng không còn chịu lực nhai sẽ bắt đầu tiêu biến tự nhiên theo thời gian. Quá trình tiêu xương làm nướu bị tụt, vùng má hóp lại, da chảy xệ và khuôn mặt trông già hơn tuổi. Ở trường hợp mất nhiều răng, cấu trúc xương hàm biến đổi còn làm mất cân đối gương mặt, đặc biệt vùng cằm và hai bên má làm cho khuôn mặt kém thẩm mỹ.
2.3. Lệch khớp cắn, xô lệch các răng còn lại
Khi một chiếc răng mất đi, các răng kế cận có xu hướng nghiêng về khoảng trống hoặc trồi lên, thụt xuống để lấp chỗ trống đó. Sự dịch chuyển này làm cho khớp cắn bị lệch, răng không còn ăn khớp chuẩn như ban đầu. Về lâu dài, tình trạng răng xô lệch khiến việc vệ sinh trở nên khó khăn hơn, tạo điều kiện cho mảng bám và vi khuẩn phát triển.

Khoảng trống mất răng khiến các răng kế cận nghiêng lệch, làm sai khớp cắn.
2.4. Nguy cơ bệnh lý răng miệng khác
Khoảng trống do mất răng là nơi dễ tích tụ thức ăn và vi khuẩn gây viêm nướu, sâu răng lân cận hoặc nha chu lan rộng. Theo thời gian, mảng bám hình thành, vi khuẩn sinh sôi làm cho viêm nhiễm tái phát liên tục. Nếu không được điều trị kịp thời thì tình trạng này có thể dẫn đến mất thêm răng, tạo thành vòng luẩn quẩn khó kiểm soát và ảnh hưởng nghiêm trọng đến sức khỏe răng miệng.
2.5. Ảnh hưởng đến phát âm
Răng đóng vai trò quan trọng để điều hướng luồng hơi và vị trí đặt lưỡi khi nói. Khi mất răng đặc biệt là răng cửa thì sự tương quan giữa lưỡi, môi và răng sẽ bị thay đổi làm luồng hơi không được định hướng chính xác dẫn đến nói ngọng, khó phát âm rõ ràng các âm như “s”, “th”, “v”, “f” làm mất tự nhiên khi giao tiếp.
2.6. Ảnh hưởng tâm lý và sự tự tin
Mất răng đặc biệt là ở vị trí dễ nhìn như răng cửa hay răng nanh làm cho nhiều người mặc cảm, ngại giao tiếp và không tự tin cười. Cảm giác không tự nhiên khi nói chuyện hoặc chụp hình lâu ngày có thể ảnh hưởng đến tâm lý, gây tự ti và giảm chất lượng cuộc sống của bệnh nhân.
3. Cách phòng ngừa rụng răng sớm
Dưới đây là những thói quen và giải pháp quan trọng giúp phòng ngừa rụng răng sớm:
3.1. Khám nha khoa định kỳ
Khám răng định kỳ là cách hiệu quả để phát hiện sớm các bệnh lý như sâu răng, viêm nướu hay nha chu. Bạn nên đến nha khoa ít nhất 2 lần/năm hoặc thường xuyên hơn nếu đang mắc bệnh răng miệng. Trong mỗi lần thăm khám, nha sĩ sẽ cạo vôi răng, kiểm tra túi nha chu, chụp X-quang (nếu cần) để đánh giá tình trạng xương ổ răng. Phát hiện và điều trị sớm giúp ngăn chặn quá trình tiêu xương và ngăn ngừa rụng răng sớm.

Khám răng định kỳ để phát hiện sớm các bệnh lý răng miệng.
3.2. Chăm sóc răng miệng đúng cách
Giữ thói quen chăm sóc răng miệng là cách đơn giản nhất để ngăn viêm nướu và rụng răng sớm. Bạn nên rửa sạch tay trước khi chạm vào vùng miệng hoặc bàn chải đánh răng để tránh đưa thêm vi khuẩn vào khoang miệng. Hãy chải răng ít nhất 2 lần/ngày bằng bàn chải lông mềm, thao tác nhẹ nhàng theo hướng xoay tròn để làm sạch mảng bám mà không gây tổn thương nướu. Kết hợp dùng chỉ nha khoa mỗi ngày để loại bỏ thức ăn kẹt giữa các kẽ răng.
Một vài mẹo nhỏ giúp bảo vệ răng tốt hơn:
- Dùng kem đánh răng có chứa fluor.
- Rửa sạch, để khô bàn chải sau khi dùng và không dùng chung với người khác.
- Thay bàn chải 3 tháng/lần hoặc khi lông bị xòe.
- Súc miệng bằng nước muối hoặc dung dịch sát khuẩn để giảm vi khuẩn trong khoang miệng.
3.3. Kiểm soát thói quen cắn và nghiến răng
Thói quen cắn chặt hoặc nghiến răng thường xuyên có thể làm mòn men răng, nứt răng và tăng nguy cơ rụng răng sớm. Bạn nên ngủ đủ giấc và tập thư giãn cơ hàm để hạn chế tình trạng này. Nếu nghiến răng khi ngủ, hãy đến nha sĩ để được làm máng bảo vệ khớp cắn giúp giảm áp lực lên răng và nướu.
3.4. Xây dựng chế độ ăn cân bằng
Một chế độ ăn cân bằng giúp răng và nướu chắc khỏe và giảm nguy cơ rụng răng sớm. Bạn nên bổ sung đầy đủ canxi, vitamin C, D và khoáng chất từ sữa, cá, trứng, rau xanh và trái cây tươi. Hạn chế đường và tinh bột tinh chế vì đây là nguồn năng lượng cho vi khuẩn sản xuất axit và enzym phát triển gây sâu răng và viêm nướu. Ngoài ra, bạn hãy uống đủ nước mỗi ngày để duy trì độ ẩm khoang miệng và giảm mảng bám.
Với người lớn tuổi hoặc người đã mất răng nên ưu tiên thực phẩm mềm nhưng giàu dinh dưỡng như protein và chất xơ. Tránh tình trạng thiếu hụt dinh dưỡng vì như vậy sẽ gây ra nhiều bệnh lý khác như bệnh tiểu đường hoặc bệnh tim mạch.

Chế độ ăn cân bằng giúp răng chắc khỏe và giảm nguy cơ rụng răng sớm.
3.5. Từ bỏ hút thuốc lá
Hút thuốc là một trong những nguyên nhân hàng đầu khiến răng dễ rụng sớm. Nicotine và các hóa chất trong thuốc lá làm giảm lưu thông máu đến nướu làm cho mô nướu yếu đi, dễ viêm và chậm lành vết thương. Người hút thuốc còn có nguy cơ mắc bệnh nha chu cao gấp 2-3 lần so với người không hút.
Ngoài ra, những người hút thuốc khó điều trị bệnh hơn, dễ tái phát viêm nướu hoặc tiêu xương hàm. Nếu bạn ngừng hút thuốc lá, bạn sẽ giảm nguy cơ mắc bệnh nha chu, bệnh tim mạch và tiểu đường.

Ngừng hút thuốc lá sẽ giảm nguy cơ mắc bệnh nha chu gây rụng răng sớm.
3.6. Theo dõi tốt bệnh lý toàn thân
Những người mắc bệnh mãn tính như tiểu đường, tim mạch hoặc viêm khớp có nguy cơ cao gặp các vấn đề răng miệng đặc biệt là viêm nha chu và rụng răng sớm. Lý do là vì cơ thể suy giảm khả năng chống viêm và phục hồi mô nướu khiến vi khuẩn dễ tấn công hơn.
Nếu bạn bị tiểu đường, hãy kiểm soát đường huyết ổn định, duy trì thói quen chăm sóc răng miệng hàng ngày và khám nha khoa định kỳ để phát hiện sớm dấu hiệu viêm nướu, sưng hoặc chảy máu chân răng. Điều trị phối hợp giữa bác sĩ nội khoa và nha sĩ sẽ giảm nguy cơ mất răng.
3.7. Chăm sóc trẻ tránh rụng răng sớm
Răng sữa khỏe mạnh là nền tảng cho hàm răng vĩnh viễn sau này. Vì vậy, cha mẹ cần chú trọng chăm sóc răng miệng cho trẻ ngay từ giai đoạn đầu đời thậm chí từ khi mang thai bởi mầm răng của bé bắt đầu hình thành từ tháng thứ 3 đến tháng thứ 5 của thai kỳ.
Một số lưu ý quan trọng giúp trẻ tránh rụng răng sớm:
- Không cho trẻ bú bình sữa hoặc nước ngọt khi ngủ để tránh đường đọng lại trong khoang miệng gây sâu răng.
- Lau nướu cho bé bằng gạc sạch trước và trong giai đoạn mọc răng.
- Hướng dẫn trẻ đánh răng đúng cách với kem chứa fluor và hướng dẫn trẻ nhổ kem sau khi đánh răng xong.
- Cho trẻ mang dụng cụ bảo vệ răng khi chơi các môn thể thao có va chạm.
- Đưa trẻ khám nha khoa định kỳ 6 tháng/lần để theo dõi sự phát triển răng và kịp thời phát hiện dấu hiệu bất thường.

Chăm sóc răng sữa đúng cách giúp trẻ có nền tảng răng vĩnh viễn khỏe mạnh.
4. Cách khắc phục răng rụng hiệu quả
Khi bị rụng răng, bệnh nhân nên phục hình sớm để tránh tiêu xương hàm, xô lệch răng kế cận và khôi phục thẩm mỹ khuôn mặt. Tùy vào tình trạng răng và điều kiện sức khỏe, nha sĩ sẽ tư vấn giải pháp trồng răng phù hợp:
- Trồng răng Implant: Là phương pháp hiện đại nhất, cấy trực tiếp trụ titanium vào xương hàm để thay thế chân răng thật, sau đó gắn mão sứ lên trên. Implant giúp phục hồi gần như hoàn toàn chức năng ăn nhai, ngăn tiêu xương hàm và mang lại cảm giác ăn nhai tự nhiên như răng thật.
- Làm cầu răng sứ: Phù hợp với trường hợp mất 1–2 răng liên tiếp. Phương pháp này mài nhỏ 2 răng kế cận để làm trụ nâng đỡ cho dãy cầu sứ bên trên. Ưu điểm là thời gian thực hiện nhanh, tính thẩm mỹ cao; tuy nhiên cần mài răng thật nên có thể ảnh hưởng đến cấu trúc răng về lâu dài.
- Làm hàm giả tháo lắp: Là lựa chọn kinh tế, thường dùng cho bệnh nhân lớn tuổi hoặc bệnh nhân mất nhiều răng. Hàm được làm từ nhựa hoặc khung kim loại có thể tháo ra vệ sinh dễ dàng. Phương pháp này có ưu điểm là chi phí thấp nhưng hàm tháo lắp không bền chắc, lực nhai yếu và không ngăn được tình trạng tiêu xương hàm.
5. Câu hỏi thường gặp
5.1. Bị rụng răng có mọc lại không?
Răng sữa ở trẻ em có thể mọc lại nhưng rụng răng vĩnh viễn ở người trưởng thành sẽ không mọc lại. Khi chân răng và xương ổ răng đã mất thì cơ thể không có cơ chế tái tạo răng mới. Vì vậy, nếu rụng răng do chấn thương hoặc bệnh lý bạn nên đi khám và phục hình răng sớm để tránh tình trạng tiêu xương hàm.
5.2. Rụng 1 răng có cần trồng không?
Rụng 1 răng nên trồng lại càng sớm càng tốt để tránh các vấn đề tiêu xương hàm, sai lệch khớp cắn và giảm hiệu quả ăn nhai. Nếu rụng răng mà không trồng lại thì về lâu dài vùng xương tại vị trí mất răng sẽ bị tiêu đi, gây hóp má và lão hóa sớm. Trường hợp duy nhất không cần trồng lại là nhổ răng khôn.
5.3. Mất răng bao lâu thì trồng lại?
Nên trồng lại răng sau 1-2 tháng kể từ khi răng rụng, khi mô nướu đã lành hoàn toàn và không có tình trạng viêm nhiễm. Thời gian cụ thể bác sĩ sẽ chỉ định tùy vào phương pháp phục hình và tình trạng sức khỏe từng người. Để biết chính xác mất răng bao lâu thì trồng lại, bạn nên đến nha khoa thăm khám để bác sĩ tư vấn cụ thể.
Rụng răng ngoài việc ảnh hưởng đến thẩm mỹ còn gây ra nhiều hệ lụy cho sức khỏe răng miệng nếu không được khắc phục sớm. Việc chủ động chăm sóc răng miệng, khám nha khoa định kỳ và trồng lại răng kịp thời là cách tốt nhất để duy trì cấu trúc xương hàm, khả năng ăn nhai và sự tự tin khi giao tiếp. Nếu bạn đang gặp tình trạng răng lung lay và rụng sớm, hãy đến nha khoa để được bác sĩ tư vấn giải pháp phục hình phù hợp.
CHUYÊN SÂU IMPLANT DÀNH CHO NGƯỜI VIỆT
- Cơ sở 1:19V Nguyễn Hữu Cảnh, P.19, Q.Bình Thạnh, TP.Hồ Chí Minh
- Cơ sở 2:193A-195 Hùng Vương, P.9, Quận 5, TP.Hồ Chí Minh
- Cơ sở 3:83 Đường số 3 Khu dân cư Cityland, P.10, Q.Gò Vấp, TP.Hồ Chí Minh